打开应用

前牙美容修复

李医师   武汉大学口腔医院
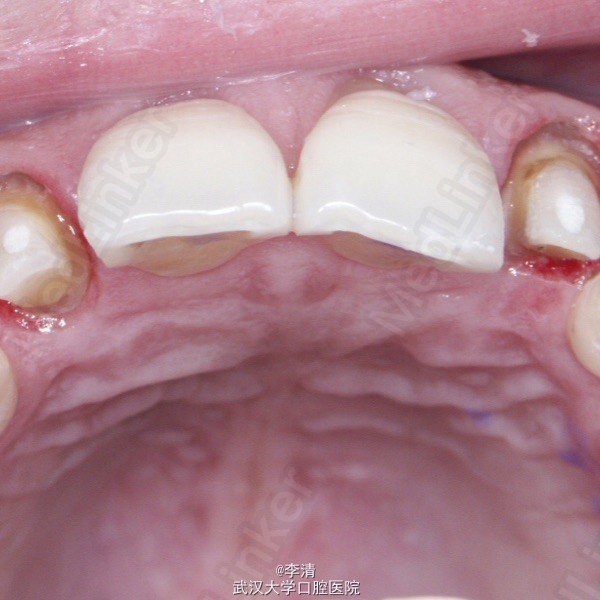
残根 残根

主诉 病史

方某,36岁,男,上侧切牙在外院行冠修复,近期该牙疼痛,拆除原义齿,并行牙髓治疗两周。要求美容修复该牙

查体 辅查

X片示侧切牙行根管治疗,根尖无明显暗影

诊断 处理

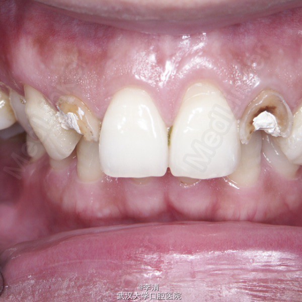
侧切牙残根 行纤维桩,铝瓷全瓷冠修复

随访 讨论

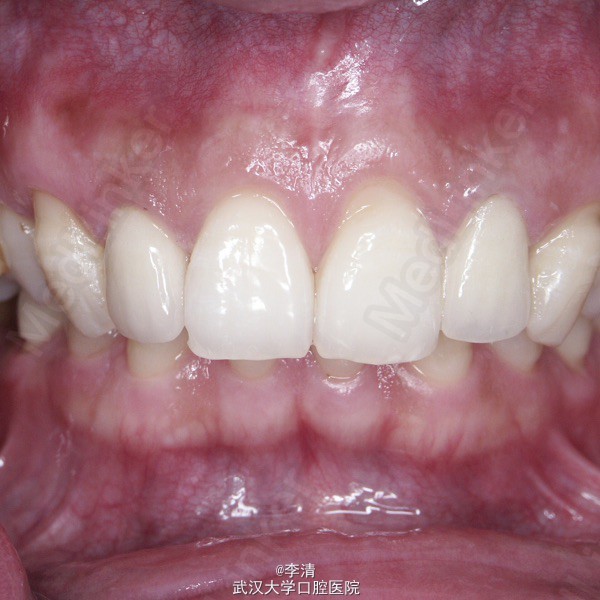
患者对修复的美观效果满意。术后无牙龈炎症。

发布于 15-06-17 23:11

13 个评论

发送