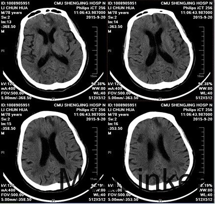
老年男性,78岁 主诉:以“头晕伴左侧肢体活动不利1天”为主诉入院。 现病史:2015/09/19 患者无明显诱因出现头晕伴左侧肢体活动不利,无恶心、呕吐,无视物旋转,无意识障碍,略有耳聋,无发热。未经系统治疗。 2015/09/20 患者上述症状反复发作,现为求系统诊治来诊我院门诊,门诊以“急性脑梗塞”为诊断收入病房。目前症见:头晕伴左侧肢体活动不利,神志淡漠,语笨,略有耳聋,时有咳嗽,咯少量黄痰,无恶心、呕吐,无胸闷、胸痛,无腹痛,无发热,饮食、睡眠尚可,二便正常。 既往史:2个月前余我院行前列腺增生手术,术后恢复尚可;否认糖尿病、高血压,冠心病病史;否认青光眼,白内障病史;否认肝炎结核传染病病史;否认外伤及输血史; 过敏史:否认食物药物过敏史。 辅助检查:1、心电图(本院,2015-09-20):窦性心律 ,P:68次/分,正常心电图; 2、头部CT:脑内多发梗塞及软化灶,脑白质疏松、脑萎缩;





查体:T:36.5℃,P:68次/分,R:18次/分,BP:125/80mmHg。神志淡漠,语笨,查体配合,浅表淋巴结未及肿大。双瞳孔等大正圆,对光反射正常存在。颈软,无抵抗。胸廓对称,双肺呼吸音清,未闻及干、湿性啰音。心音低钝,心率68次/分,律齐,未闻及早搏,各瓣膜听诊区未闻及杂音。腹软,无压痛,无反跳痛及肌紧张,肝脾肋下未触及,肝肾区无叩痛。双下肢无水肿,四肢肌力V-级,肌张力正常,Hoffman征左(-)右(-),Babinski征左(-)右(-)







诊断:脑淀粉样血管病;脑出血;蛛网膜下腔出血;脑梗塞; 患者入院给予营养神经,改善循环,抗血小板治疗,9月22日出现抽搐,9月23日发现患者蛛网膜下腔出血,停用改善循环,抗血小板药物,应用止血药,尼膜同口服,9月23日复查头CT,发现脑出血,予以营养神经、降颅压等治疗,患者病情平稳,症状逐渐好转中,10月13日,复查头CT,患者原有出血较前吸收,但右侧侧脑室后角旁新发脑出血,继续按脑出血治疗中。
脑淀粉样血管病(cerebralamyloidangiopathy,CAA)是老年人一种独立的脑血管病,临床特征以痴呆、精神症状、反复和/或多发性脑叶出血为主要表现。其病理特点为大脑皮质及软脑膜的小血管壁内的中层和弹力层有淀粉样物质沉着,从而导致血管壁坏死、出血。 该患无高血压病史,脑出血反复发作,考虑脑淀粉样血管病