主诉:大便习惯改变1月余,加重伴腹痛10余天 病史:中年男性,慢性起病。患者1月余前无明显诱因出现大便习惯改变,大便变细,次数增多,约3次/天,伴大便带血,为淡红色血水,量较少,有里急后重感,无黏液,至当地医院就诊,诊断为“结肠炎”,予消炎治疗(具体用药不详)后症状无缓解,未予进一步诊治,后出现肛门停止排便,持续约10余天。10余天前症状加重,出现便血,每天10余次,为淡红色血水,量较少,性质同前,伴中下腹刺痛。现为进一步诊治,门诊拟“直肠恶性肿瘤”收入我科。近1月来体重下降20kg。
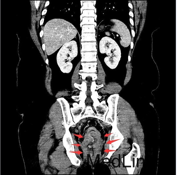
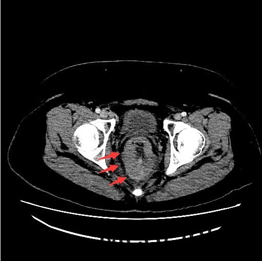
查体:肛查(KC位):肛周未见外痔,直肠指检可及环形多发内痔,部分质地较硬,有触痛,直肠壁可及多发结节,有触痛,指套退出有染血。 辅查:腹部CT示:直肠癌,累及肠壁全层,并周围肠系膜多发淋巴结转移,全身核素骨扫描结果提示:右侧坐骨轻度代谢活跃,建议定期复查以排除骨转移瘤可能,肿瘤标记物未见明显异常。肠镜示:1.直肠Ca?2.结肠息肉(已钳除)。





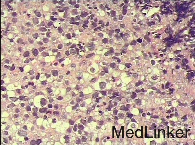
诊断:直肠癌? 治疗:入院后完善相关检查,肠镜活检病理示:B细胞源性非霍奇金淋巴瘤。肿瘤标记物未见明显异常。现患者要求暂缓手术治疗,办理出院。


讨论:胃肠道是原发性结外淋巴瘤最常见的累及部位。其中胃是最常见的发病部位,其次是小肠,而结肠和直肠少见。本例属于直肠淋巴瘤,属于少见肿瘤,影像表现与直肠癌相似,因此临床常常误诊为直肠癌,本例即误诊为直肠癌。影像学上只要认真观察一般能通过以下几点将两者鉴别开:淋巴瘤一般累及的肠段较长,肠壁较厚,肠腔变窄不明显,呈动脉瘤样扩张,没有肠梗阻表现,周围脂肪界面清晰。而大肠癌则相对较局限,常伴有肠腔的狭窄及肠梗阻的表现,而且常通过浆膜直接向周围浸润,周围脂肪间隙模糊。只要认真寻找这些影像征象,还是能够将两者较好的区别开来。