下载或打开 医联APP 查看完整评论
立即下载
打开APP
主诉:反复上腹痛1月,黑便1周 病史:46岁女性,急性起病。患者1月前反复出现进食后上腹部疼痛,伴恶心、呕吐。1周前出现黑便,伴头晕、乏力,抑酸、护胃、止血等处理后,症状缓解,门诊拟“上消化道出血”收入我科。
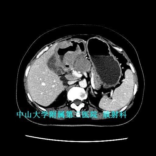
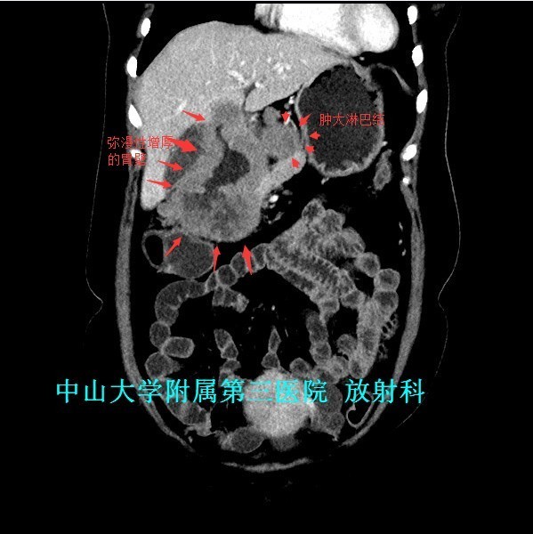
查体:腹软,上腹部轻压痛、无反跳痛,未触及包块。 辅查:1、胃镜:胃十二指肠恶性病变(待病理);2、上腹部CT:胃窦至十二指肠胃壁弥漫性增厚,考虑淋巴瘤可能性大。





诊断:胃淋巴瘤 治疗:入院排除手术禁忌证后,于全麻下行“剖腹探查术”,术中发现胃肿物无法切除并幽门梗阻,遂决定行“胃肿物活检术+胃空肠吻合术”,术后病理提示“B细胞源性非霍奇金性淋巴瘤”,免疫组化示“CK(-),CEA(-),Vim(部分+),CD3(部分+),CD45RO(部分+),CD20(+),CD79α(+),CD56(-),TIA1(散在+),CK20(-),Ki-67(40%+),P53(+)。”。建议转血液科进行下一步内科治疗,患者拒绝转科并签字出院。


讨论:原发性胃肠道淋巴瘤是一组起源于胃肠道黏膜下层淋巴组织的恶性肿瘤,成人较少见,约占胃肠道恶性肿瘤的1~4% 。影像表现具有一定特征性:弥漫性或局限性胃壁增厚是胃淋巴瘤主要特征,增厚的胃壁内缘呈波浪样或分叶状,外缘较光整,胃腔有一定的扩张度,增强扫描动脉期呈轻中度强化,静脉期持续强化。主要与胃癌鉴别,胃癌也表现为胃壁增厚,但一般增厚无淋巴瘤明显,而且胃壁僵硬,官腔变窄,常有浸润周围组织器官。 参考文献:侯明杰,齐鹏飞,高万勤等.原发胃肠道淋巴瘤的影像表现和误诊分析[J].实用放射学杂志,2014,(12):2112-2113,2121.