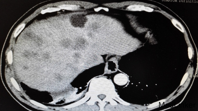
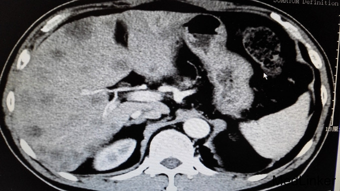
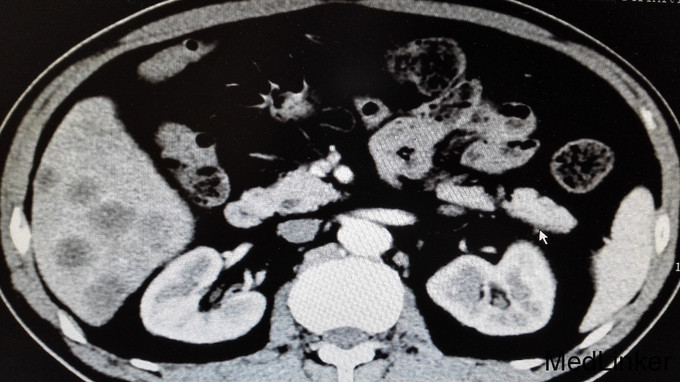
患者男,69岁,因右小腿红肿痛10天,被骨科收入院。 患者10天前无明显原因出现右小腿肿胀疼痛,无活动障碍,遂到社区扎银针治疗,随后发生感染,小腿肿胀加重,扎针处流脓,入院就诊后被骨科收治入院。在骨科经过抗感染、换药、改善循环等对症处理后,右小腿肿胀逐渐消失,皮肤恢复正常,拟开出院。出院前天下午,患者突感右上腹胀痛难忍,呈持续的闷痛胀痛,自我感觉有异物顶住而呼吸不畅,骨科遂给予行上腹部CT平扫检查,检查结果提示肝脏多发低密度占位灶,大小不一,考虑转移癌可能。于是将患者转入普外科进一步诊治。
体格检查无特殊,未见明显阳性体征。 进一步完善辅助检查: 尿常规、大便常规、胸片、肝肾功能、血糖、血沉、风湿三项大致正常。血常规:白细胞11.7 ×10 9/L。右小腿MRI:1、右踝周围软组织信号改变,考虑炎症,请结合临床,必要时增强检查。2、右踝关节腔少许积液。血常规、心肌酶、电解质正常,心电图、心脏彩超未见明显异常。腹部CT平扫:1、肝实质多发稍低密度影性质待定,考虑转移瘤,建议进一步检查。2、肝左叶、尾叶多发低密度影性质待定,考虑囊肿。3、胆囊摘除术后。4、主动脉及右冠状动脉局部管壁钙化。AFP、CA199正常,CEA:6256.85ng/ml。输血前四项全阴性。全腹部增强CT提示:1、胃窦壁增厚,肝实质多发稍低密度影,考虑胃CA并肝内转移瘤可能,建议胃镜检查。2、肝左叶、尾叶多发囊肿。3、胆囊摘除术后。4、左肾囊肿。5、右肺下叶感染;左肺下叶纤维化病灶。6、主动脉及右冠状动脉局部管壁钙化。行胃肠镜检查提示慢性浅表性胃炎和盲肠占位,占位大小约40mm,已取病检。病检结果提示:盲肠中分化腺癌。






诊断:1、盲肠中分化腺癌并肝脏多发转移;2、右小腿软组织感染。 告知患者病情,目前无手术治疗指征,转肿瘤科行以化疗为主的肿瘤综合治疗。 患者经过再三考虑后,转省肿瘤医院消化肿瘤内科继续治疗。
患者在省肿瘤医院行化疗和免疫治疗。 胃肠道的恶性肿瘤,因其血液回流的流向,经常发生肝脏转移。因此早期诊断早期发现至关重要。该患者原发病灶为盲肠癌,从肠镜来看,癌肿位于盲肠肠腔约40mm,无溃疡及出血,平素无任何症状,无大便习惯改变,无疼痛,因此很难被早期发现,而直到发生肝脏多发转移,引起肝区疼痛才被发现,此时已失去了最佳的手术治疗时机。若不是患者因为右小腿软组织感染住院期间发生肝区疼痛,其隐藏的病程还可能延长,可能直到出现恶病质才会被确诊。所以,定期的检查身体、定期的做一些大型检查如CT和胃肠镜等检查,对于发现早期癌症至关重要。