下载或打开 医联APP 查看完整评论
立即下载
打开APP
主诉:胸骨后隐痛40天,伴嗳气10天。 现病史:患者40天前无明显诱因出现胸骨后隐痛,呈间断性,无明显加重缓解因素,无放射痛。无进食哽噎感,无吞咽困难,无发热咳嗽,无胸闷心悸,无腹痛腹胀,无头晕头痛。10天前开始,患者出现嗳气不适,胸骨后疼痛无明显加重。于奈曼旗人民医院就诊,查纤维胃镜示“食管占位”。今为求进一步治疗,来我院就诊,门诊以“食管占位”为诊断收入院。患者病来一般状态好,小便正常,大便次数少,腹泻、便秘交替,饮食睡眠好,近期体重减轻约8KG。 。 既往史:否认高血压、冠心病、糖尿病等疾病史;否认肝炎结核等传染病病史;4年前颌面部外伤,否认手术史,否认输血史。否认食物及药物过敏史。预防接种史不详。
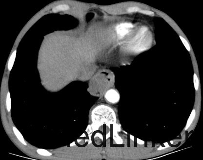
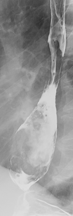
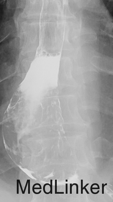
查体:T:36.4℃,P:78次/分,Bp:131/77mmHg,R:16次/分。神清语明,步入病房,查体合作,营养状态略差,皮肤粘膜无黄染,结膜无苍白,浅表淋巴结未触及肿大,气管居中,胸廓对称无畸形,呼吸运动正常,双肺叩诊清音,未及明显罗音。心音钝,律齐。腹平软,无压痛及反跳痛,肝脾肋下未触及。肝区叩痛(-),双下肢无水肿,脊柱四肢活动无异常。 辅查:胃镜(奈曼旗人民医院,2015-10-28):食管占位。







诊断 : 食管占位 治疗:入院后完善相关检查,胃镜病理未能予以确定诊断为恶性肿瘤。患者家属拒绝再次胃镜病理检查,要求行手术治疗。 后为解除梗阻症状,提升患者生活质量,按食管恶性肿瘤准备行手术治疗,术中切除肿物并剖开,内部质韧,肿物表面局部溃疡性改变,冰冻回报:平滑肌瘤伴鳞状细胞癌,患者现术后康复中,病理尚未回报。
患者为食管间叶来源肿物恶性,还是食管平滑肌瘤伴发食管癌,希望术后病理能给予进一步解答。