下载或打开 医联APP 查看完整评论
立即下载
打开APP
患儿女,4d。生后不久出现呼吸急促,反应差,皮肤黄染、皮疹入院。
查体:全身斑丘疹,腋窝淋巴结增大。肝脾肿大。 辅查:白细胞高,红细胞与血小板减少,肝酶升高。CRP 35.33。总胆升高,直胆及间胆均高。胆汁酸增高。

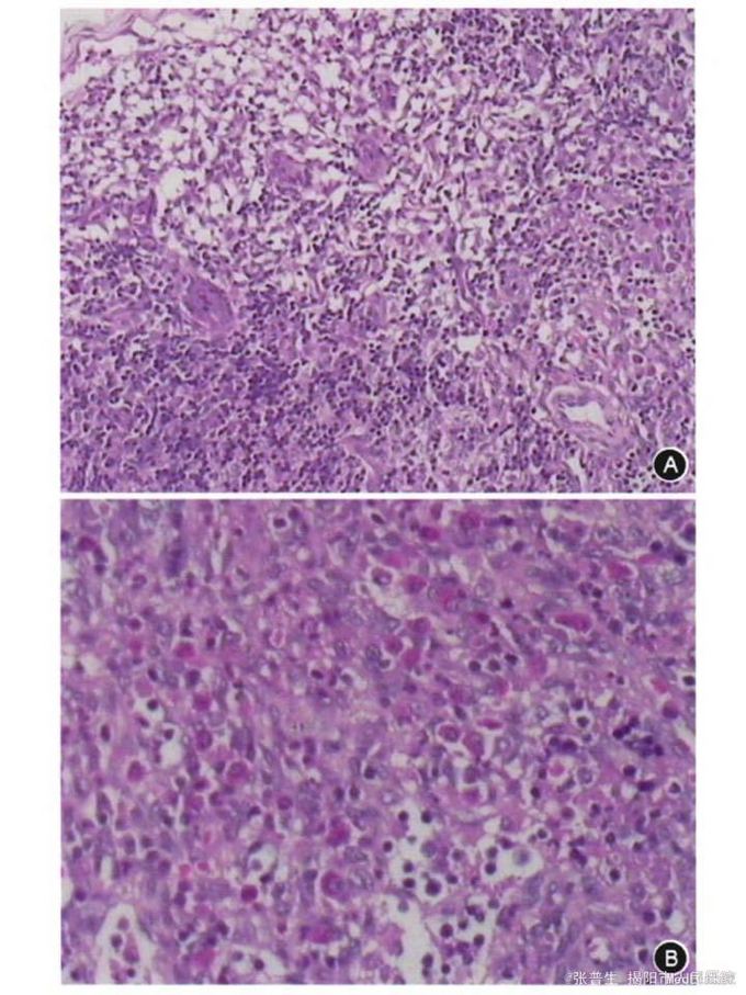
处理:外院曾予光疗、抗感染、输注丙球等,呼吸好转,但肝脾仍进行性增大,血常规无改善。入院后予泰能抗感染,护肝。皮疹及黄染消退。直接抗人球蛋白试验阳性。B超示肝脾大,腹股沟淋巴结肿大。皮肤活检:表面被覆鳞状上皮,真皮浅毛细血管增生。淋巴活检见边缘窦内组织细胞样细胞增生。免疫组化:CD1a,S-100,CD3,CD20,MPO嗜酸性粒细胞均阳性 诊断:新生儿朗格汉斯细胞组织细胞增生症。
确诊后患儿家属放弃治疗。目前主要治疗方案多为强的松加长春新碱。本例患儿皮肤活检未见朗格汉斯细胞,但淋巴结活检可见。提醒各位同行重视淋巴结活检的重要性。 10.3760/cma.j.issn.1007-9408.2015.06.013