打开应用

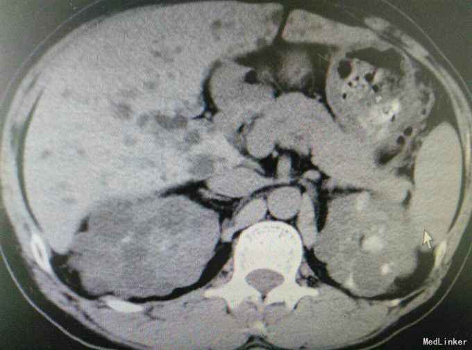
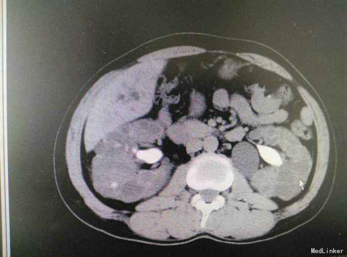
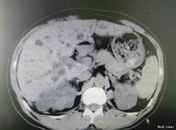
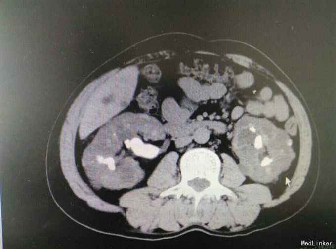
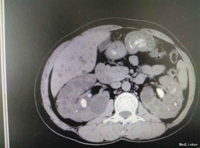
多囊肾合并双肾结石并积水

蒋医师   粤北人民医院
肾结石 多囊肾 多囊肝

主诉 病史

患者47岁,男,因‘’腰痛伴、血尿伴发热7天‘入院。 患者既往有‘高血压’病史多年,7天前无明显诱因出现腰痛,随后出现肉眼血尿,为程肉眼血尿,当天晚上出现发热,最高体温38.6摄氏度,予以对症处理后,发热可退去,但症状反复,患者为求进一步进一步治疗遂来我院。

查体 辅查

左肾区有叩痛,右肾区叩痛不明显,输尿管行程无压痛。

诊断 处理

多囊肾,双肾结石,多囊肝,高血压

随访 讨论

对于此例患者治疗,有何万全之策?

发布于 15-10-17 00:42

2 个评论

发送