打开应用

退变性侧弯的治疗

许医师   中国人民解放军海军特色医学中心
腰椎间盘突出 腰椎管狭窄症 腰椎间盘突出症

主诉 病史

患者腰部疼痛伴右下肢疼痛麻木2年,间隙性跛行。

查体 辅查

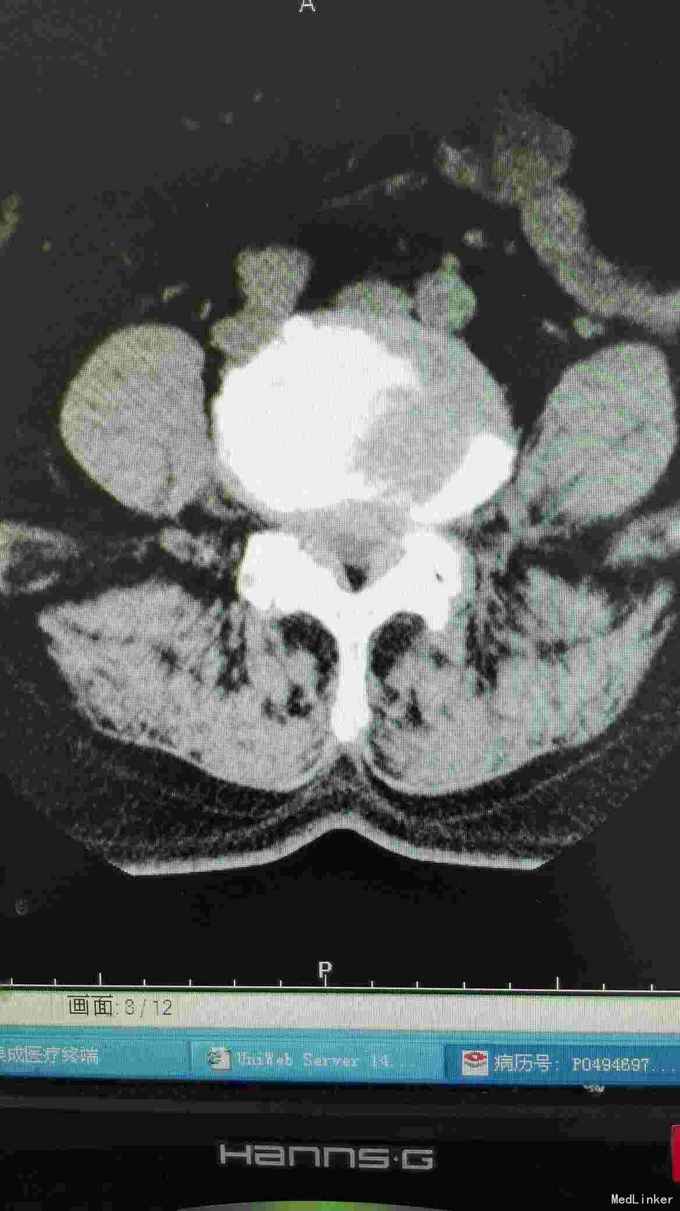
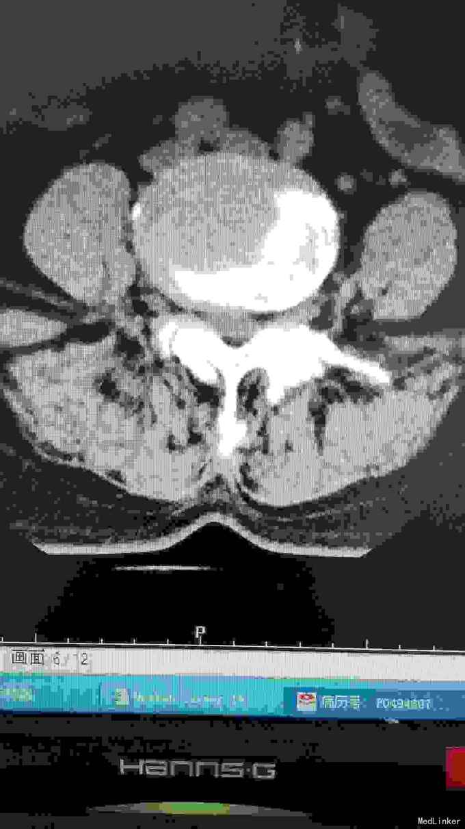
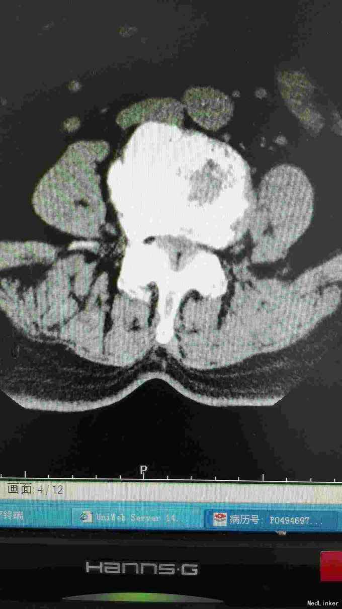
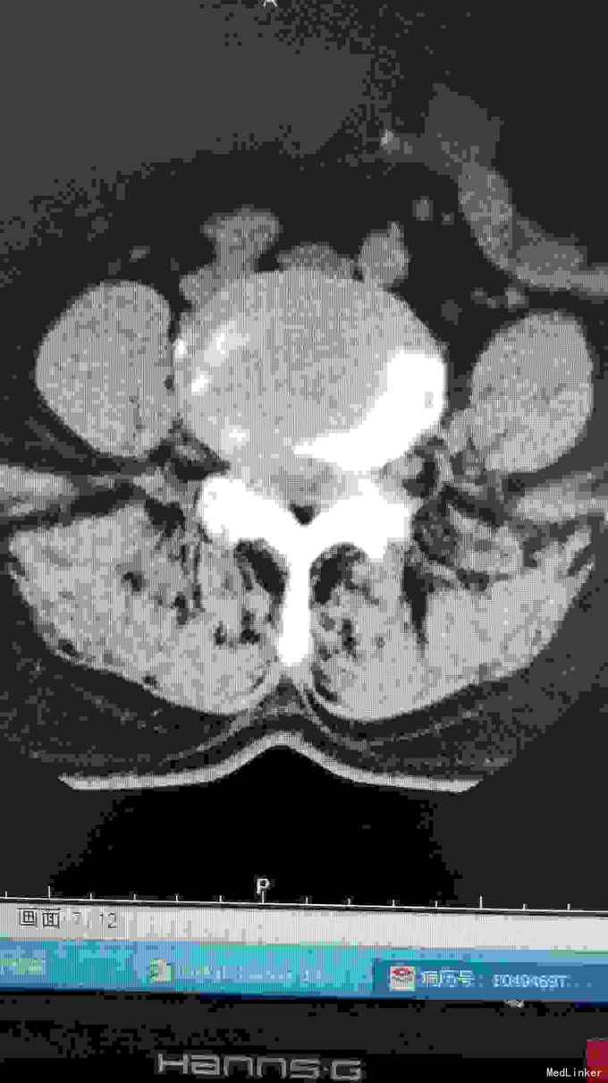
腰椎影像检查提示椎间盘突出,椎管狭窄,退变侧弯。

诊断 处理

诊断腰椎间盘突出症,腰椎管狭窄症,腰椎退变性侧弯。 在全麻下行腰椎固定,减压,畸形矫正融合术。

随访 讨论

患者术后腰疼及右下肢疼痛消失。

发布于 15-10-15 22:23

0 个评论

暂无评论
发送