下载或打开 医联APP 查看完整评论
立即下载
打开APP
1、患者为中年男性。 2、患者于1年余前因“痛风症”诊治时查CTU泌尿系造影及上腹部CT示:左侧肾上腺区囊性病灶,考虑囊肿。未予处理。20余天前无明显诱因出现头痛,自测血压高达160/120mmHg,无心悸胸闷,无咳嗽咳痰,无恶心呕吐,口服“心痛定”后血压降至140/110mmHg波动,遂到中山大学附属第六医院诊治,超声提示:左侧肾上腺区囊肿声像,大小约84*74mm,较前次检查变化不大;腹部CT提示:左肾上腺区囊性病灶,较前增大,大小约85*68*80mm,考虑肾上腺囊肿;ACTH、皮质醇水平正常,皮质醇节律稍异常。未予特殊处理。现为进一步诊治而来我院,门诊拟“肾上腺肿物”收入我院。
辅助检查:2015-06-23中山大学附属第六医院超声提示:左侧肾上腺区囊肿声像,大小约84*74mm,较前次检查变化不大。双肾及双肾动脉、膀胱、双输尿管、前列腺超声检查未见异常。 2015-06-25中山大学附属第六医院腹部CT提示:左肾上腺区囊性病灶,较前增大,大小约85*68*80mm,考虑肾上腺囊肿(内侧肢)
左侧肾上腺囊肿 腹腔镜下肾上腺部分切除术
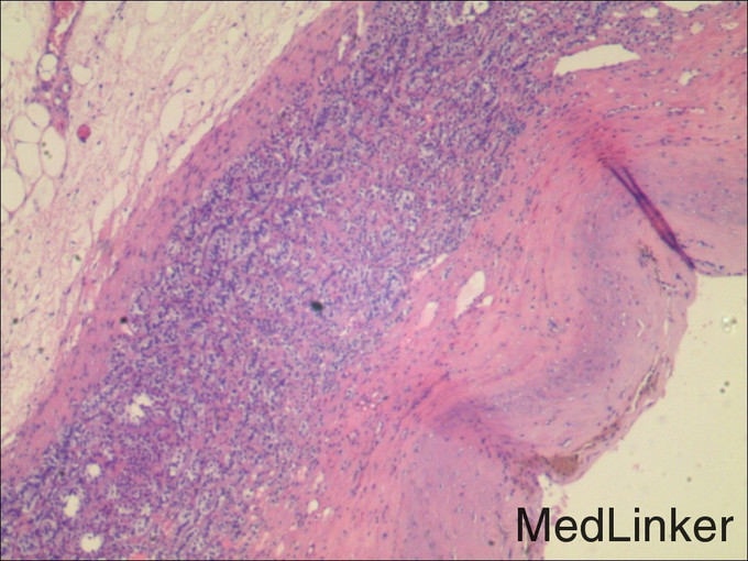
术后病理检查结论/诊断:(左肾上腺囊肿)送检8X7X3cm碎组织一堆,囊壁样,带脂肪,囊壁光滑。镜下:送检肾上腺组织内可见由纤维组织组成的囊壁样结构,其内表面未见被覆上皮,病变符合肾上腺囊肿。 肾上腺肿物有哪些常见类型?
