下载或打开 医联APP 查看完整评论
立即下载
打开APP
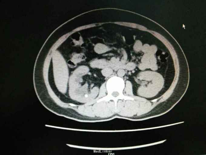
主诉:发现高血压升高10个月 病史:患者于10个月前无明显诱因出现头晕、头痛等高血压症状,血压最高达180/100mmHg,无尿频、尿急、尿痛,无排尿困难,无血尿、脓尿,在当地医院行CT提示肾上腺肿瘤,当时予以口服降压药治疗,并建议定期复查。现为进一步治疗收入我科。
查体:双肾区无红肿、隆起,无叩痛,双侧肋脊点、肋腰点无压痛。腹平软,双侧输尿管走行区无压痛,膀胱区无膨隆,压痛阴性,双侧腹股沟区未触及肿物。 辅查:外院CT提示肾上腺肿瘤

诊断:肾上腺肿物 治疗:完善常规检查及泌尿系B超、IVP、CT等检查; 完善WMA、17-羟、17-酮、醛固酮等肾上腺内分泌检查,暂给予降压治疗; 待检查汇报,可考虑行手术切除肿物。
患者中年女性,起病缓慢,以高血压就诊,应排除各种原因引起的高血压如急进性高血压、原发性高血压、肾性高血压、肾血管性高血压、原醛高血压、更年期高血压等。