患者;女性,64岁 主诉:甲状腺癌切除术后1年半。 病史:患者因“甲状腺肿物”于2013-4-25行“甲状腺右叶近全切+左叶次全切除术”,术后病理示:结节性甲状腺肿,伴不典型性增生结节。予优甲乐1片qd不规律服用4个月,于2014-5-7停药。术后发现胸骨前肿物,遂行胸骨上段肿物活检病理示:呈结节性甲状腺肿样改变,考虑转移瘤可能。
查体:颈部正中可见一约7cm长弧形手术瘢痕,愈合良好,颈部未触及异常软组织肿块,未触及明显肿大淋巴结。胸骨上段扪及一肿物,活动度差。 辅助检查:全身碘扫描示:甲状腺癌术后:全身多发性骨转移瘤,摄碘功能良好;左肺转移灶,无摄碘。
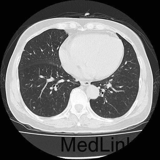
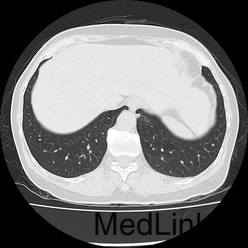
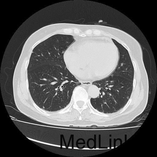
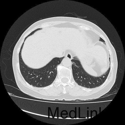
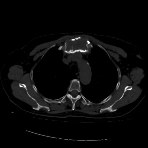
诊断:甲状腺恶性肿瘤(术后);手术后甲状腺功能减退。 治疗:入院时甲状腺球蛋白>455pmol/L,甲状腺素2.793uIU/ml,根据病情于2014-6-3予大剂量碘-131 100mCi清甲治疗;2014年6月全身碘扫示:全身多发异常摄碘组织,考虑甲状腺癌术后双侧甲状腺组织及锥状叶残留并全身多发骨转移。2014年9月胸部CT示:1、双肺多发转移瘤,并胸骨转移;胸1、8、10、腰1椎体内多发结节灶,考虑转移瘤可能性大。2、右肺中叶内侧段、双肺下叶散在慢性炎症。2014年12月全身碘扫:1.全身多处异常摄碘组织,考虑多发骨转移瘤。又于2014年12月复查甲状腺球蛋白抗体90.400U/mL,促甲状腺素6.914uIU/ml。遂于2014-12-22口服250mCi大剂量放射性碘-131。治疗后全身碘扫复查结果提示:2.左肺下叶摄碘组织,不排除转移瘤,建议进一步检查。与2014.6.6检查相比,颈部甲状腺部位放射性浓集灶消失,余病灶放射性浓集程度较前稍降低。







患者又于2015年10月胸部CT复查,结果提示:1、甲癌术后改变;双肺多发转移瘤,大部分病灶较前缩小,左肺下叶病灶较前增多,部分较前增大;胸骨转移;胸1、8、10、腰1椎体内多发结节灶,基本同前,考虑转移瘤可能性大。2、右肺中叶内侧段、左肺上叶舌段及双肺下叶散在慢性炎症。



