下载或打开 医联APP 查看完整评论
立即下载
打开APP
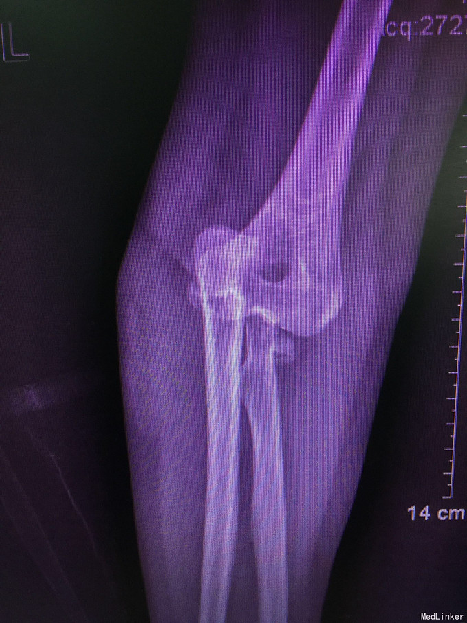
患者缘于2周前做家务时自离地50cm处跌落,左上臂先着地支撑,即感左肘关节疼痛,无法自主活动,左肘周围肿胀,无感觉障碍,遂至我院就诊。
入院影像学检查示:左侧肘关节向后上方脱位,合并桡骨骨折,尺骨冠突骨折,累及关节面,关节腔积血。 行手法复位,石膏固定后复查平片为6、7号图片。





诊断为左侧肘部恐怖三联征。 行左侧肘部恐怖三联征切开复位内固定术,术后停留外固定器。


肘部恐怖三联征极易损伤肘部神经,对患者的致残可能性非常大,对于内固定物及外固定器,术后一定要预防感染,否则对患者的预后会造成严重影响。