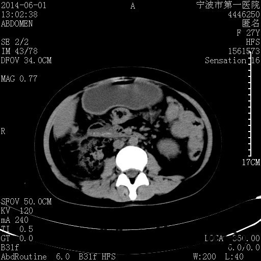
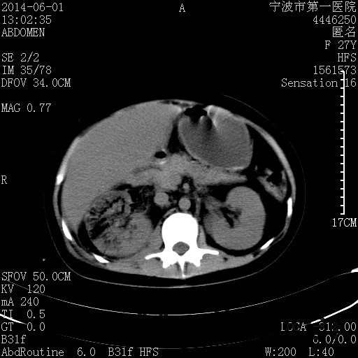
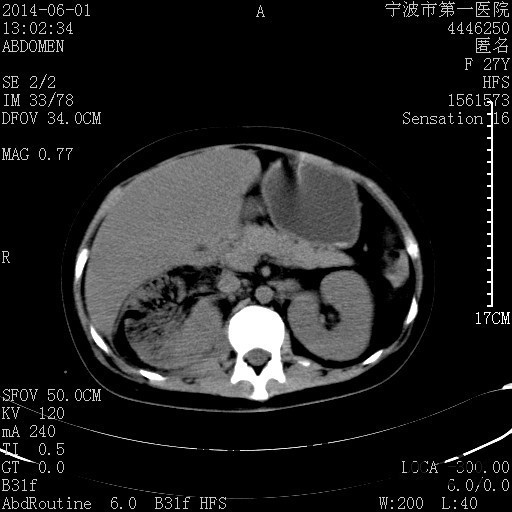
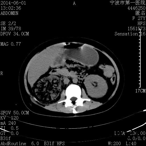
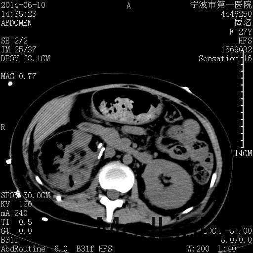
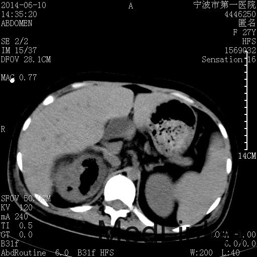
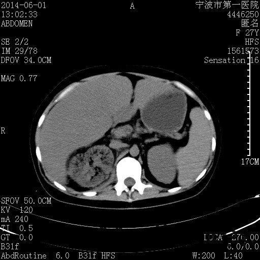
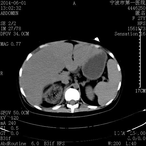
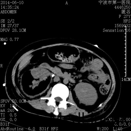
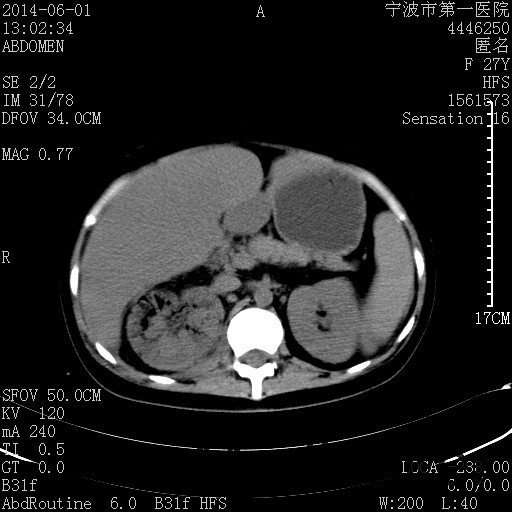
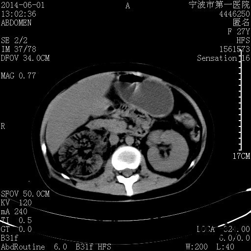
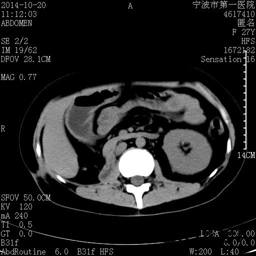
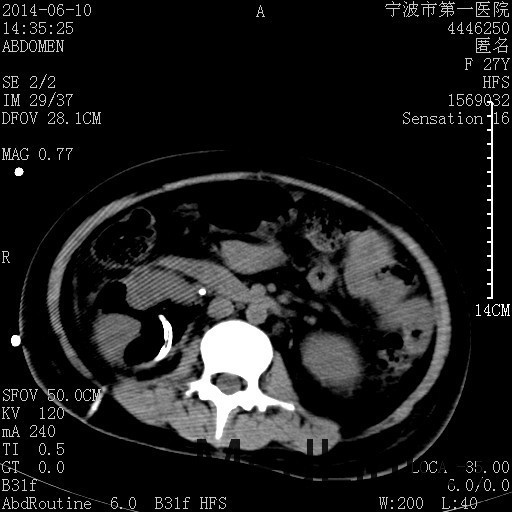
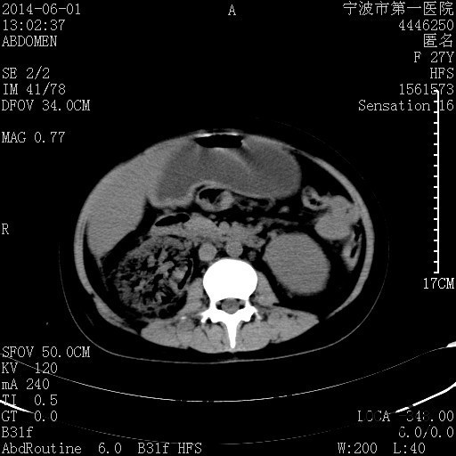
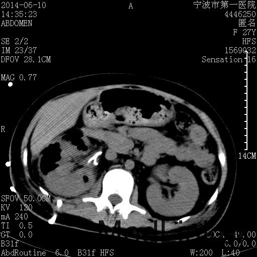
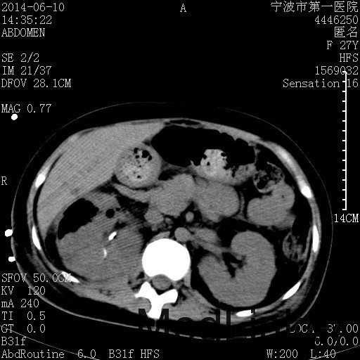
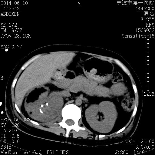
患者,女,27岁,因“右下腹疼痛伴呕吐2天”入院 患者无明显诱因出现右下腹疼痛伴呕吐、发热,体温最高39度,急诊CT示:右肾集气,考虑气性肾盂肾炎。
查体: 右肾区叩击痛,右下腹压痛,无反跳痛。 辅助检查: 空腹血糖9.7mmo/L,餐后血糖18mmol/L 血常规:白细胞 11.3*109/L, 中性百分比 77.4%, 血红蛋白 8g/L, 血小板 319*109/L 尿常规 WBC+++ 生化:白蛋白 37.5g/L,肝肾功能正常 泌尿系CT:右肾集气
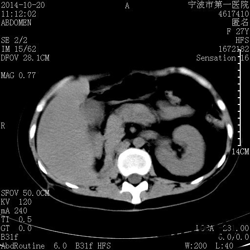
诊断为“气性肾盂肾炎,感染性休克,糖尿病酮症酸中毒” 血、尿、脓液培养均示“克雷伯杆菌” 入院第2天行“右双J管置入术” 入院第3天、7天行“右肾穿刺造瘘术” 入院1月行“右肾切除术” 术后顺利康复出院。


气性肾盂肾炎 • 气性肾盂肾炎是产气尿路病原体引起的急性肾实质坏死和肾周感染 • 大肠杆菌是最常见的病原菌,其次是克雷伯杆菌和变形杆菌 • 绝大多数气性肾盂肾炎患者合并糖尿病 • 死亡率19%至43%,单独的内科治疗通常是致命的,大部分患者最终需要行肾切除术 下一步治疗方案 • 拟行右肾切除术 • 患者经充分引流、抗感染治疗后现病情平稳,血糖控制良好 • 感染灶范围大,不能通过保守治疗消除,以往经验告诉我们保守治疗效果往往不佳 • 长期抗生素应用易引起真菌感染、伪膜性肠炎等并发症 • 若细菌对泰能耐药,后续抗感染治疗将十分困难 术前评估 • 手术风险评估(NNIS分级 2~3分) – IV 类手术切口(1分) – P3有严重系统性疾病,日常活动受限,但未丧失工作能力(1分) – T1手术在3小时内完成(0~1分) – 营养危险评分(NRS-2002) 营养状态评分3分+疾病严重程度评分2分=5分 围手术期治疗 • 术前、术中、术后血糖控制和调整 • 术后重症监护支持 • 感染控制和抗生素使用 • 手术前麻醉准备 患者最终在入院后1月行右肾切除术,术后康复出院。