打开应用

口腔正畸

姚医师   郑州市中心医院

主诉 病史

主 诉:颞下颌关节疼痛不适半年余; 现病史:半年前发现关节区张口弹响,疼痛,开口度渐进性变小,咀嚼食物时关节区疼痛,睡觉时牙关紧闭,醒来感觉关节区紧张不适; 既往史:既往体检,关节无外伤史;

查体 辅查

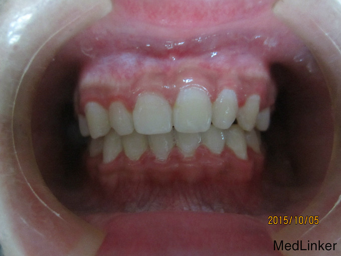
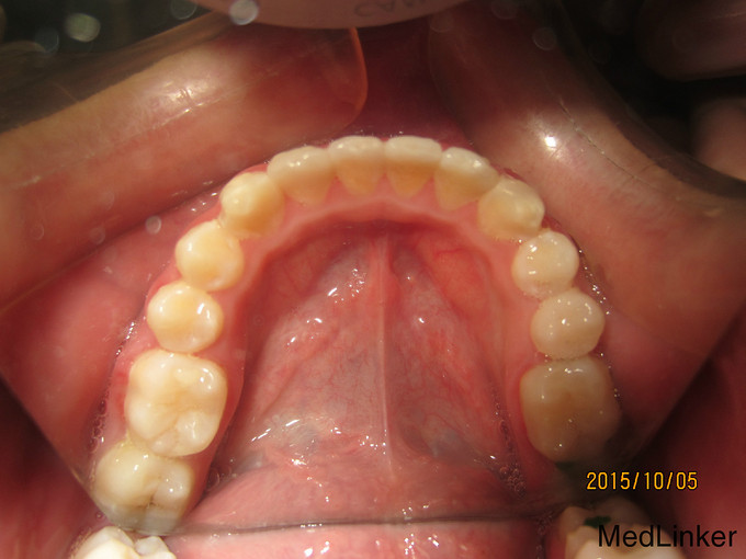
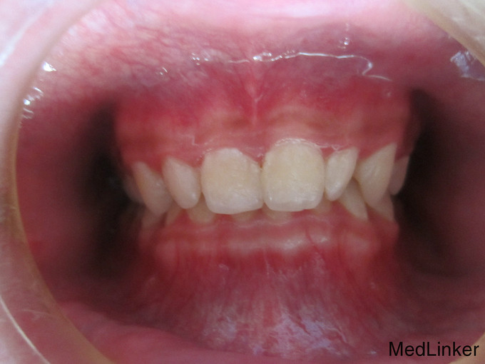
检 查:双侧颞下颌关节开口弹响,开口度一度; 模型测量分析:3度深覆合,上下颌轻度拥挤,spee曲线陡峭,上下颌尖牙尖锐、宽度较小,; 头 颅 侧位片:下颌平面角低角,下颌后缩,余正常; 辅 查:曲面断层片、头颅侧位片,双侧颞下颌关节片

诊断 处理

诊断:深覆合、下颌后缩导致颞下颌关节负担加重,引起关节紊乱 治疗:一期:制作合平面导板,戴用一月后关节症状减轻,确定病因; 二期:带用固定矫治器,首先排齐上颌4个月,之后配合平面导板及摇椅弓排齐整平下颌5个月,调整上下颌咬合关系3个月,精细调整2个月,保 持1个月后拆除矫治器,患者自觉关节症状明显好转,制作保持器保持。

随访 讨论

三个月后复查,颞下颌关节无不适,保持效果较好,交待注意事项,继续保持

发布于 15-10-05 19:29

3 个评论

发送