下载或打开 医联APP 查看完整评论
立即下载
打开APP
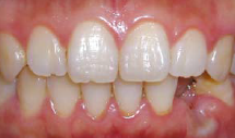
女性,22 岁, 现病史:外伤致33 脱落1 周后求诊,要求种植修复 既往史:无特殊
左下3缺失,牙龈略红肿,近远中距离可,对颌无伸长 X线示牙槽窝内空虚



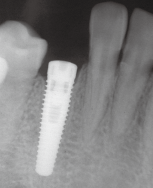
术区常规消毒铺巾,碧蓝麻阻滞加浸润麻醉,牙槽脊顶切开翻瓣,尖钻定位,逐级备洞,植入牙槽窝清创后预备植牙窝,植入种植体(Replace Select®,4.3 mm×13 mm),唇侧缺损处填充自体骨屑。拧上愈合基台,穿龈愈合,严密缝合,常嘱术后4个月后复诊取模,2周后戴牙



拟行即刻种植的病例应符合牙种植术的一般体检要求。适应证包括:①不伴有大量骨丧失的外伤性失牙(本病例);②不能进行牙髓治疗的牙体病 牙;③无法保留的牙周病牙; ④ 根折需拔除的病牙