打开应用

即刻种植一例

张医师   金昌市人民医院
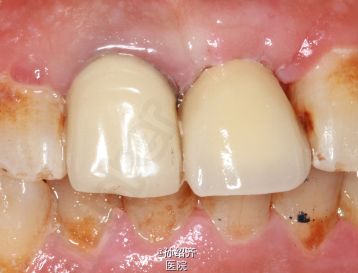
牙折 牙折

主诉 病史

患者,男,36岁,前牙外伤折断求治

查体 辅查

患者,21牙根尖无暗影,断面在龈下,骨量可

诊断 处理

诊断:21牙折裂 处理:拔除21牙的同时植入种植体一枚

随访 讨论

即刻种植作为种植手术中的一种,可以大大缩短种植修复治疗周期,但也有其严格的适应症和禁忌症,在临床上应用的时候,应严格把关,以免失败

发布于 15-06-17 21:12

1 个评论

发送