下载或打开 医联APP 查看完整评论
立即下载
打开APP
主诉:咽部不适感1年,加重1个月 病史:患者一年前始出现咽部不适的感觉,时觉微痒, 异物感等, 但无明显疼痛感。曾在外院以“感冒”治疗,效果不佳。换了另一家医院治疗,接诊医生检查见其左侧扁桃体肿大, 左侧前腭弓红肿膨隆, 并行穿刺及切开治疗,但未见有脓液抽出或排出。今为进一步治疗,遂来我院治疗。
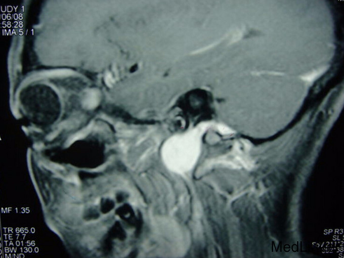
咽部淡红, 无明显充血, 左前腭弓膨隆, 左扁桃体二度肿大, 触诊可于左前腭弓, 扁桃体上极部位扪及一6×5cm大小肿块, 质较韧, 无搏动感, 边界清; 颈部淋 巴结未触及肿大。咽部MRI检查示:左侧咽旁间隙(扁桃体水平)见异常信号肿块, 边缘清楚, 可见完整包膜, 约4.5×3.2cm, 左扁桃体受推移, 鼻咽未见异常改变。

诊断:眼旁间隙肿瘤,性质待查 治疗:完善术前相关检查,全麻下经口腔径路行左咽旁肿物切除术, 术中见左咽旁间隙肿物约6×7cm大小, 包膜完整, 与周围组织分界清, 术中送冰冻病理切片检查示: 考虑“混合瘤”; 术后肿物石蜡病理切片示:左咽旁间隙“涎腺混合瘤”。
随访:一般情况良好,未见复发 讨论:本例患者为发生于左侧咽旁间隙的混合瘤, 初诊时被误诊为左扁桃体周围脓肿。分析误诊原因主要有:对咽旁间隙肿瘤认识不足,病史询问不详细,检查不全面等。患者初诊时, 医生仅凭患者左侧前腭弓的红肿隆起即诊断为扁周脓肿, 没有注意到患者始终未有咽部疼痛病史, 没有扁桃体周围脓肿这个最为典型的临床自觉症状, 在行穿刺及切开排脓未见脓液时, 亦未引起应有的重视做进一步的检查而造成最初的误诊。