下载或打开 医联APP 查看完整评论
立即下载
打开APP
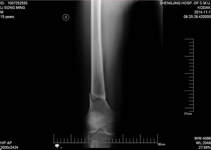
患者及家属自述于2014年10月31日,在学校与同学打闹过程中不慎别伤,伤后自觉右大腿疼痛伴有活动受限,就诊于当地医院行股骨正侧位X线片提示:右股骨远端骨折。未于治疗。后患者为求进一步诊治来我院急诊就诊,请我科会诊后,诊断为右股骨远端骨折,建议手术治疗,收入病房。伤来饮食、睡眠欠佳。大小便正常,体重无明显变化。


专科查体:见右大腿肿胀,畸形。大腿远端压痛阳性,轴向叩击痛阳性,可触及骨擦音,骨擦感。见双足高弓扬趾,右侧足背伸肌力5级,足背动脉可触及。


诊断:右股骨远端骨折 患者入院后急诊行生化检查等,查无手术禁忌症后急诊行右胫骨结节骨骼牵引术,维持患肢长度,减轻患者疼痛后,完善相关检查,请相关科室会诊后,查无明显手术禁忌症后行右股骨远端骨折闭合复位Liss钢板内固定术。
