下载或打开 医联APP 查看完整评论
立即下载
打开APP
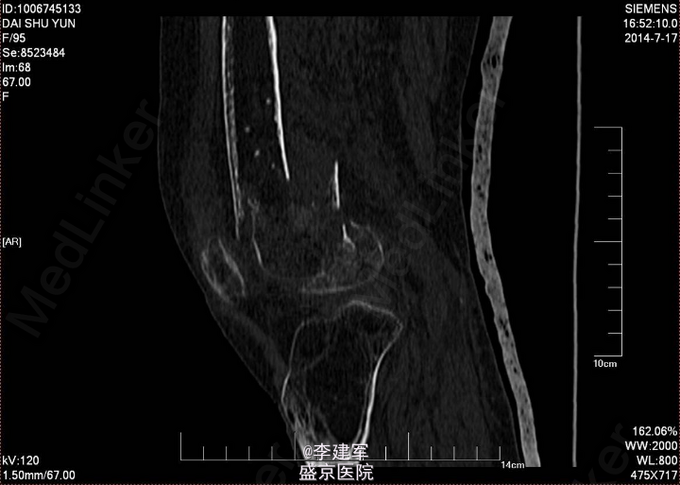
患者性别:女。年龄:94岁 主诉:摔倒后右大腿疼痛肿胀活动受限7小时 患者及其家属自述患者 弯腰拾衣物,起立时一过性意识不清,摔倒,摔倒后意识清楚,右大腿部疼痛肿胀,活动受限,被家属急送往我医院,经检查诊断为"右股骨髁上骨折",收入我科,患者伤来无头痛及发热,无咳嗽咳痰,无腹痛及恶心呕吐,饮食睡眠可,二便正常。




专科查体:右股骨石膏固定中,肿胀,压痛(+), 活动受限,骨擦感及异常活动存在,右下肢无明显麻木,右足趾可活动,足背动脉可触及。 完善心电图,肺部CT,生化检查等,查无手术禁忌症。择期手术治疗
右股骨髁上粉碎性骨折 患者高龄,完善心电图,肺部CT,生化检查等,查无手术禁忌症。择期手术治疗。 手术拟行右股骨髁上粉碎性骨折闭合复位内固定术。 决定使用Liss钢板

患者高龄选用Liss钢板做闭合复位,减小手术创口。