下载或打开 医联APP 查看完整评论
立即下载
打开APP
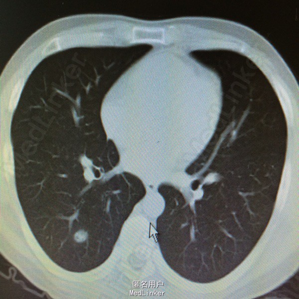
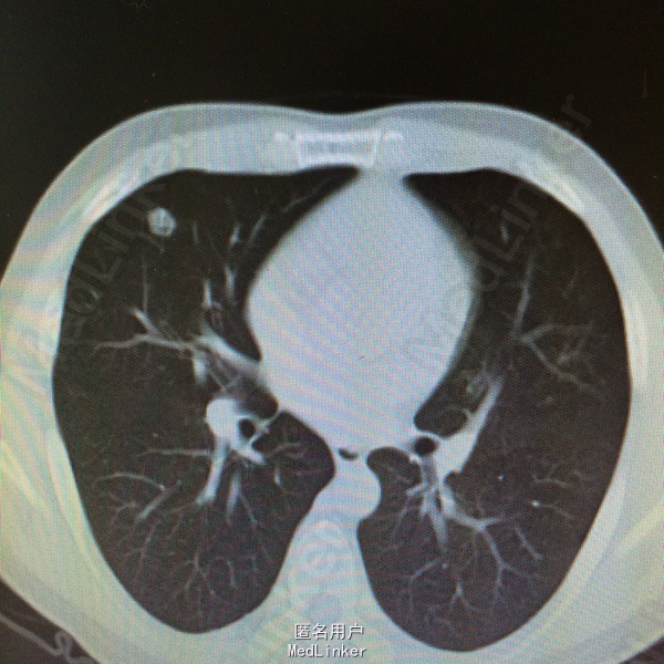
患者因“鼻咽癌放疗后2年余,双肺多发转移治疗后复发2周”入院。详见图片

查体一般可,生命体征平稳,双颈部等浅表未及明显肿大淋巴结,2015.9.15复查ct提示两肺多发转移瘤,较前增多增大。




鼻咽癌肺转移,拟予全身化疗
患者鼻咽癌肺多发转移,目前鼻咽部及双颈部CR,双肺多发转移后予全身化疗及全肺姑息性放疗,放疗后全肺缓解期8个月,未见肺炎。放疗后复发予全身化疗,化疗后缓解期约3个月,现再次复发,但患者血象不宜全身化疗,讨论治疗方案