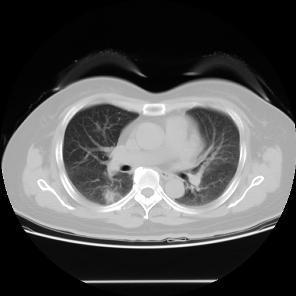
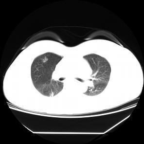
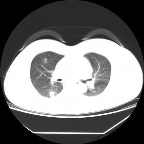
患者,女,57岁,因“右肺占位”于2015-09-17 15:08入院。 患者缘2月前体检无意发现右肺占位,伴随症状:无咳嗽、咳痰、无胸闷、胸痛、气短,无头晕、视物旋转,无恶心、呕吐,无腹痛、腹泻,无尿急、尿频、尿痛,2015-7-1 CT示:1.右肺上叶前段及下叶背段结节伴实变,右肺下叶结节见支气管气相征,考虑炎性病变可能,建议治疗后复查除外肿瘤性病变;双肺多发炎症;2.双侧胸膜肥厚;肺动脉增宽,提示肺动脉高压;3.肝左外叶小囊肿;4.甲状腺双叶增大,考虑为甲状腺肿,请结合临床。2015-9-2复查CT示:1.右肺上叶前段结节较前片无明显变化;右肺下叶背段结节较前片增大,建议进一步检查除外肿瘤性病变;双肺多发炎症较前片吸收;2.双侧胸膜肥厚;肺动脉增宽;3.肝左外叶小囊肿;4.甲状腺肿大,同前片。以“右肺占位”收住院,自发病以来,食欲减低,体重无明显下降,大小便无异常。




入院查体:体温:36.6℃,脉搏:85次/分,呼吸:18次/分,血压:135/90mmHg。[专科检查]胸廓未见异常,胸骨无压痛,乳房正常对称。呼吸运动未见异常,肋间隙未见异常,语颤未见异常。叩诊清音,呼吸规整,双肺呼吸音清晰,双侧肺未闻及干、湿性罗音,无胸膜摩擦音。心前区无隆起,心尖搏动未见异常,心浊音界未见异常,心率85次/分,律齐,各瓣膜听诊区未闻及病理性杂音,无心包摩擦音。 辅助检查:红细胞沉降率测定(ESR)22mm/1h;癌胚抗原(CEA)0.65ng/ml;血常规及凝血四项无明显异常。




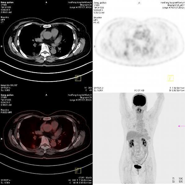
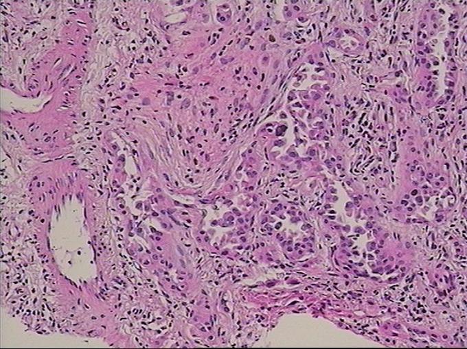
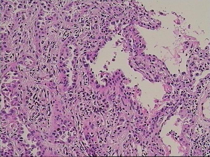
诊断为右肺上叶前段,下叶背段高分化腺癌,T4N0M0(IIIA)期 行胸腔镜手术楔形切除术,术后测EGFR阳性,给予分子靶向药物埃克替尼治疗
患者无任何症状,体检发现肺部小结节影,观察2月,未见缩小,似有轻度增大,入院后经CT引导下肺穿刺活检提示高分化腺癌,行手术治疗。 周围型肺癌早期影像学表现为孤立的肺内结节或肿块,通常有分叶征,毛刺征,空泡征,支气管充气征,坏死液化或空洞形成。此患者仅表现为淡薄的渗出影,小结节影,观察2月没有变化后,经穿刺证实肺癌,因此对肺部小结节影,斑片影,不吸收,无钙化的要特别注意肿瘤可能。