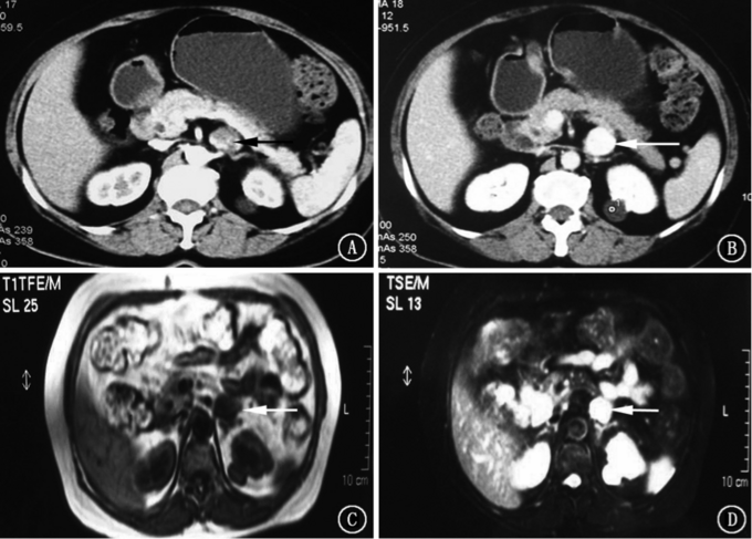
患者,女,62 岁。 因“阵发性血压升高10 年,加重6 个月,发现左肾上腺占位2 个月”入院。 患者10 年前无明显诱因开始出现发作性血压升高,发作时伴全身震颤、心悸、大汗,多于凌晨4 ~5 点发作, 血压最高达175/55 mmHg,先后服用硝苯地平、厄贝沙坦片等,血压可以控制在150/60 mmHg 左右。6 个月前症状加重,发作频率增加。患者因胃痛于当地 医院就诊,B 超检查示左侧肾上腺区低回声占位。腹部增强CT 检查:左侧肾上腺前方不规则肿块,大小约4.5 cm×2.5 cm×3.9 cm,与左侧肾上腺体部分界不清,增强扫描动脉期边缘强化,门脉期造影剂向内充填,延迟期为均匀高密度,腹膜后占位考虑良性病变可能。腹部MR 检查:腹主动脉左前方肿块,边缘清晰光滑,T1WI 呈低信号,T2WI 呈明显高信号,腹膜后占位性病变考虑为嗜铬细胞瘤可能(图1)。

辅助检查:促肾上腺皮质激素64.0 pmol/L,24 h 尿游离皮质醇5.4 nmol。钾4.3 mmol/L,肾素(立位) 0.7 μg/(L· h),血管紧张素(立位) 37.8 ng/L,醛固酮(立位) 336.8 pmol/L。24 h 尿儿茶酚胺:去甲肾上腺素103.0 nmol,肾上腺素9.8 nmol,多巴胺18.9 nmol。奥曲肽显像检查:腹主动脉左前方生长抑素受体稍高表达。
诊断:左侧嗜铬细胞瘤。 治疗:服用酚苄明5 mg,2 次/d,血压控制在130/60 mmHg。在全麻下行腹腔镜下左侧肾上腺肿瘤切除术,术后未服用任何降压药物,血压维持在120~138/50~72 mmHg。病理检查:肿瘤剖面可见血窦和血管,光镜下可见密集的毛细血管,排列紊乱,部分血管扩张充血呈海绵状,诊断为海绵状血管瘤(图2)。

术后随访5 个月,患者血压、心率平稳,无肿瘤复发。 肾上腺海绵状血管瘤是良性病变,预后良好。对于直径>6 cm 的肿瘤,手术目的是明确肿瘤良恶性,减轻肿瘤压迫症状或防止破裂出血。对于直径<6 cm 的肿瘤,可以等待观察,定期随访。对于突发破裂出血的肿瘤,可行选择性血管栓塞术或肿瘤切除术。推荐手术方式为腹腔镜下肾上腺肿瘤切除术,对于巨大肾上腺血管瘤可行开放手术,术中应尽量保留正常肾上腺组织。