下载或打开 医联APP 查看完整评论
立即下载
打开APP
打开应用
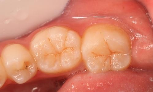
树脂修复病例
王医师
空军军医大学口腔医学院
主诉 病史
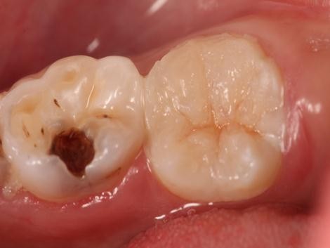
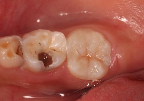
患者,女,右下6龋坏要求修复,平素体质一般,无药物、食物过敏史,无高血压、心脏病等系统病史。
诊断 处理
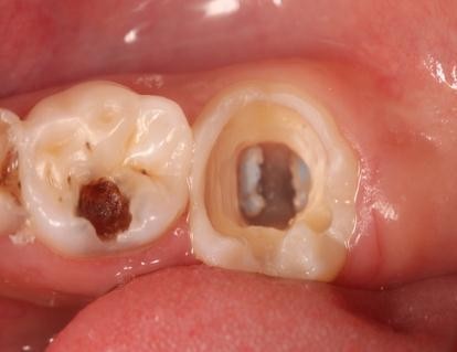
去腐,树脂修复
随访 讨论
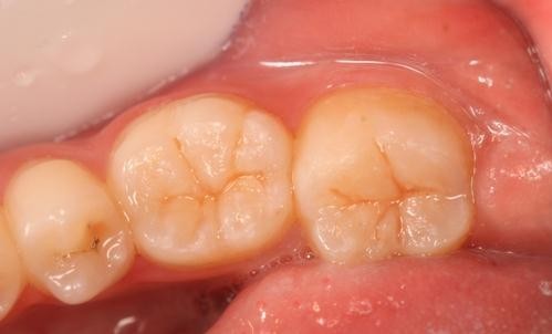
效果很好,患者满意
发布于 15-09-29 21:53
医联推荐你看
树脂修复
树脂修复
树脂修复病例
共
0
个评论
暂无评论
发送
0