下载或打开 医联APP 查看完整评论
立即下载
打开APP
打开应用
树脂修复病例
王医师
空军军医大学口腔医学院
主诉 病史
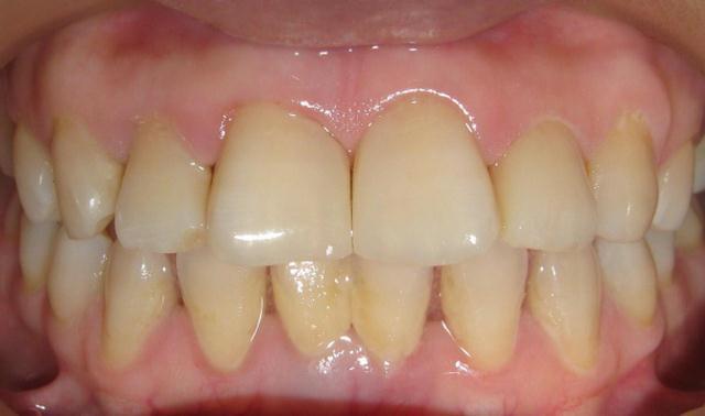
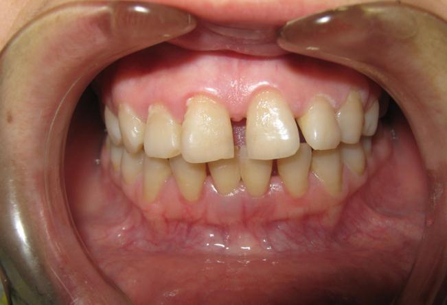
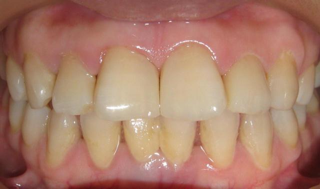
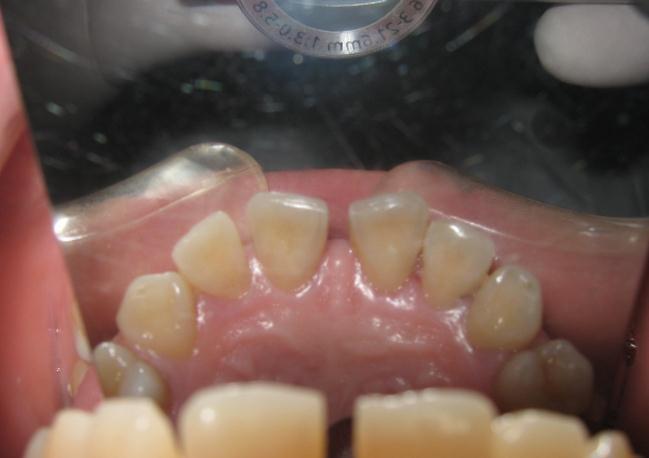
患者,女,35岁,前牙牙缝隙过大要求修复。平素体质一般,无药物、食物过敏史,无高血压、心脏病等系统病史。
查体 辅查
未做相应的检查
诊断 处理
树脂修复
随访 讨论
效果很好,患者满意
发布于 15-09-25 23:02
医联推荐你看
树脂修复
树脂修复
树脂修复病例
共
3
个评论
查看更多评论
发送
0