下载或打开 医联APP 查看完整评论
立即下载
打开APP
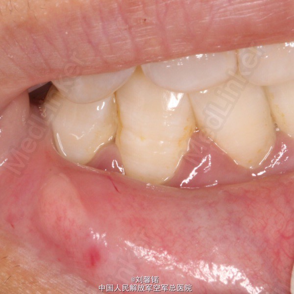
王某,男11岁 主诉:右侧下唇肿物半年余 现病史:半年来,右侧下唇近口角处一光亮“水泡”,肿胀消退,但不久又可复发,今日来我科要求治疗。
检查:右侧下唇近口角处一约花生米大小,呈半透明的无痛小疱,突出下唇表面,表面光滑,无蒂,挤压不可消失

诊断:唇黏液腺囊肿 处置:Nd激光切取,病理检查

讨论:唇黏液腺常见于下唇,且多发生有咬唇习惯者,临床多采用手术切除,硬化剂注射,冷冻,激光,不管何种治疗方法,主要是防止再复发,本例患者采用Nd激光切除,激光对周围组织的热损伤小,术后皮肤组织恢复快,不易形成瘢痕。

