现病史:男,39岁,因“上腹不适1月”入院,患者因上腹部不适1月,到当地医院就诊发现肝内占位,AFP显著升高,诊断为肝细胞癌,为进一步诊治入我院。 既往史:乙肝病史10余年;父亲有乙肝病史,舅舅患有肝细胞癌
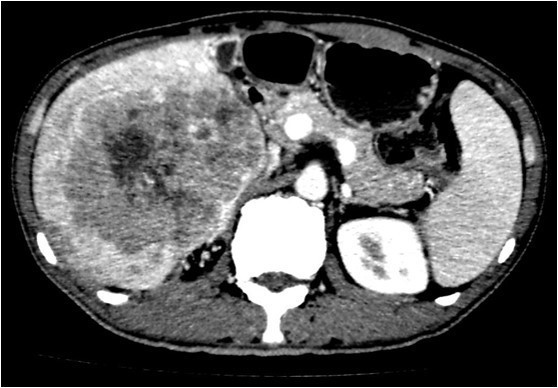
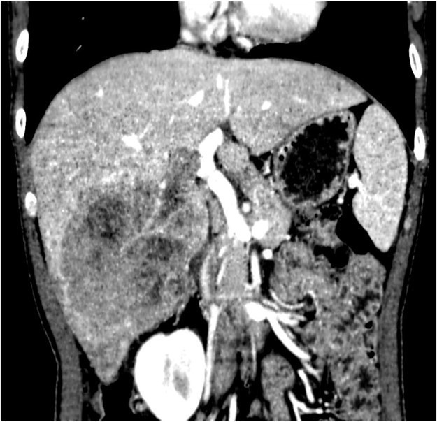
体查:未见阳性体征 实验室检查: WBC 7.24× 109/L, N 48.1%, Hb 159g/L, PLT 117× 109 /L ,PT 12.5s ; HBsAg+, HBcAb+,HBeAg+;HBV-DNA5.33× 106 IU/mL ALT 240 U/L, AST 154 U/L, ALB 36.9g/L, TBIL 13.1umol/L AFP 6270 ug/L ICG 15分钟滞留率 4.5%;Child-Pugh A级 CT提示肝S5、S6肝细胞癌并门静脉右支癌栓形成




诊断: • 肝细胞癌 • 门静脉右支癌栓 治疗:右半肝切除、门静脉取癌栓、胆囊切除术 术后病理: • 肝细胞癌,梁索型,II级,癌旁组织呈门脉性肝硬化改变 • 门静脉内组织呈现肝细胞癌改变伴坏死,符合癌栓改变
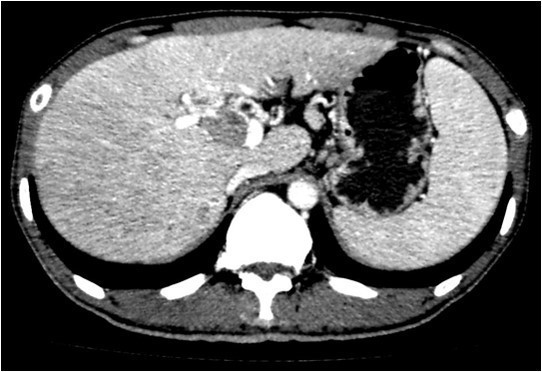
术后情况 1、术后出现中量胸腔积液,予超声引导下穿刺抽液治疗后好转。术后进食后给予恩替卡韦抗病毒治疗;肝功能正常后开始口服索拉非尼 400mg BID 2、术后1个月行肝动脉造影,未见肝内明显病灶染色;预防性肝动脉化疗栓塞术,奥沙利铂200mg、表柔比星30mg行灌注化疗,碘化油2ml栓塞 3、术后30个月规律随访,未见病灶,AFP水平稳定在1.5-6之间 4、术后32个月CT发现门脉期肝S2段低密度灶,考虑复发,AFP正常,行射频消融术,射频消融术后患者随访未见新发病灶,目前存活38个月 讨论: 该患者按照BCLC 分期属于C期,建议仅应用索拉菲尼治疗,而根据日本肝脏病协会和2011年前卫生部发布的《原发性肝癌诊疗规范》则建议可手术、TACE、索拉菲尼治疗,甚至化疗和放射治疗。BCLC 分期对手术指证把控过于严格,国内外均有不同的声音,针对门静脉癌栓的患者,国内外科界比较一致的观点是倾向于手术配合介入、分子靶向治疗、化疗的多学科综合治疗,也取得了一定的效果,本例获得超过3年的生存期也说明了治疗的有效性。