下载或打开 医联APP 查看完整评论
立即下载
打开APP
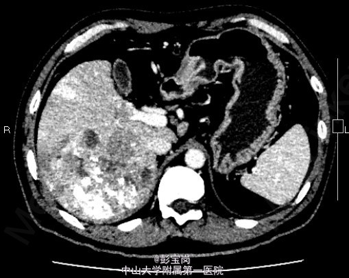
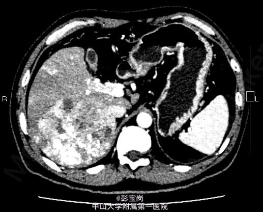
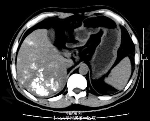
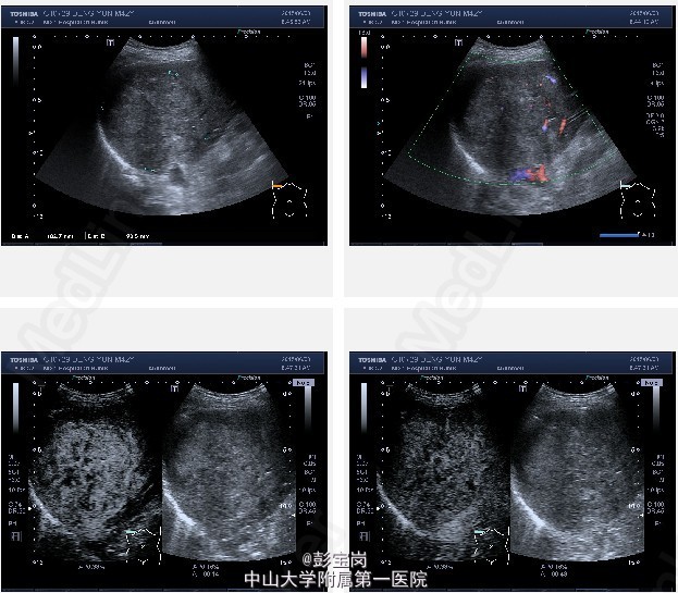
男性,42岁;因“肝癌行TACE术后,拟行手术治疗”入院。患者1月前体检发现原发性肝癌,于25天前在外院行肝动脉栓塞化疗(TACE)术。2天前患者就诊我院,查上腹CT示:右肝后叶多发结节或肿块,碘油栓塞后改变,病灶内和周边部仍有血供,门脉右后下支癌栓形成。现为进一步诊治门诊拟“肝细胞癌”收住我科。起病以来,精神食欲可,大小便通畅,体重无明显变化。既往史肾结石病史,否认肝炎病史。
查体无特殊; 检验:白细胞WBC:13.27;血红蛋白Hb:121g/L;血小板PLT:225x10^9/L;肿瘤标记物:甲胎蛋白(AFP)111.32 ug/L;癌胚抗原(CEA)9.40 ug/L;CA125 20.2 U/mL;CA19-9 11.04 U/L;HBsAg(+)





诊断:肝细胞癌 处理:右半肝切除术、胆囊切除术、腹腔粘连松解、膈肌部分切除修补、门静脉切除取癌栓、右侧肾上腺转移瘤切除

讨论: 肝癌伴门静脉癌栓是中晚期HCC的常见表现;卫生部诊断肝细胞癌的临床治疗建议如下:对于伴有门脉主要分支癌栓(门脉主干和1/2级分支),如果预计无法完整切除肿瘤及肉眼癌栓,建议进行放疗和/或门脉支架植入和TACE;当肿瘤和癌栓可被整块切除的患者,建议“肝癌手术切除、门静脉取栓、化疗泵植入+术后门静脉肝素冲洗、持续灌注化疗+TACE"等以外科为主的综合治疗,可以明显提高肝癌合并门静脉癌栓患者的生存率,降低术后转移复发率。