下载或打开 医联APP 查看完整评论
立即下载
打开APP
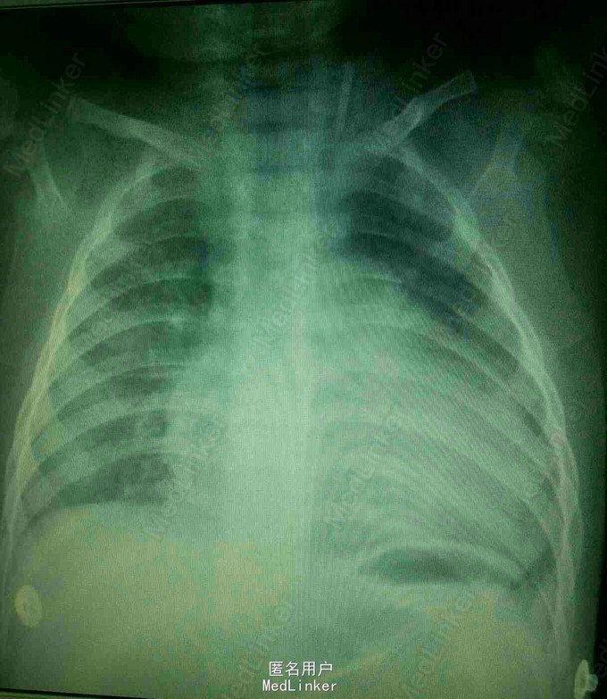
患儿女,9月14天。因咳嗽4月余,加重伴气促、呼吸困难2月入院。
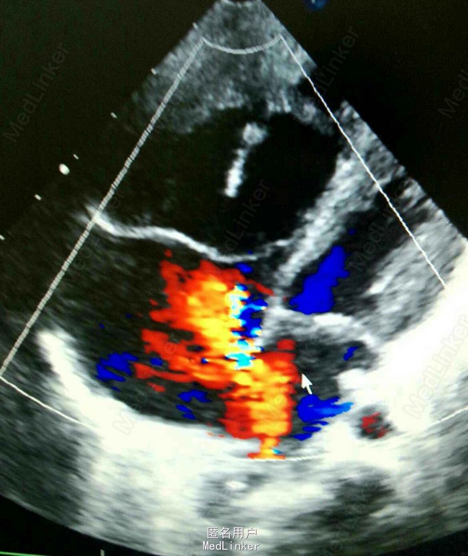
双肺呼吸音粗,可闻及中量哮鸣音及湿罗音。腹部彭隆,肝脾未触及。辅查:B超提示ASD,PDA,三尖瓣轻度反流,肺动脉高压(中度)。血象高,以淋巴为主。



诊断为:高原性心脏病,慢性肺炎,先心。 处理:予小剂量多巴胺强心,利尿。予美洛西林钠舒巴坦钠联合头孢硫脒抗感染治疗。营养心肌,雾化等对症。支气管镜提示喉软骨软化。加用伊可新对症。顺尔宁止咳平喘。患儿咳嗽逐渐好转。
随访:患儿目前仍在治疗中,咳嗽明显缓解。先心问题由患儿预后决定。反复感染且肺动脉高压持续存在则考虑外科手术治疗。