下载或打开 医联APP 查看完整评论
立即下载
打开APP
患者男,15岁,因“车祸致右足跟部皮肤撕脱伤清创缝合术后13天”入院。患者13天前因车祸导致右足疼痛流血伴功能障碍,右足跟部皮肤撕脱,遂到当地人民医院就诊,诊断为右跟骨骨折伴跟部皮肤严重剥脱伤,右胫骨远端骨折。急诊下行“右足跟部皮肤严重剥脱伤皮肤严重挫裂伤清创缝合术”。术后给予止痛、消肿、预防感染等对症处理,目前右足外侧及跟部皮肤变暗,坏死。患者为进一步诊疗,故转入我科继续治疗。

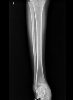
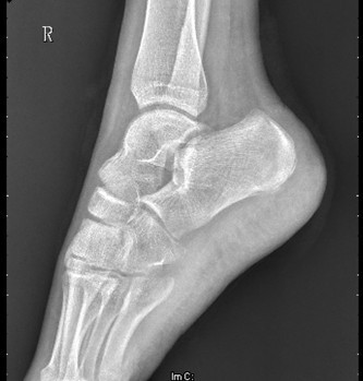
查体:右足内踝、外踝及跟部皮肤变暗,部分缺血坏死。未见畸形,稍肿胀。右足趾皮温无明显降低,右足趾感觉未见明显异常。右足内踝、外踝及跟部皮肤局部压痛。右踝关节活动受限,右踝关节活动诱发疼痛。右膝关节活动未见明显异常。 辅查:x片示右跟骨,右胫骨远端骨折。


诊断:1、右足清创缝合术后皮肤软组织坏死伴感染,2、右跟骨骨折,3、右胫骨远端骨折。 治疗:择期手术。


足部撕脱伤因其血供差而不易愈合,损伤后最好争取一期缝合血管、神经等组织,有利于创伤愈合;愈合不佳的则要二期植皮。

