下载或打开 医联APP 查看完整评论
立即下载
打开APP
患者女,13岁4月,因“车祸致右足跟部皮肤撕脱伤清创缝合术后25天”入院。患者25天前因车祸导致右足疼痛流血伴功能障碍,右足跟部皮肤撕脱,遂到当地医院就诊,诊断为右足跟部皮肤严重剥脱伤,右跟骨骨折,右胫骨远端骨折。急诊下行“右足跟部皮肤严重剥脱伤清创缝合术”。术后给予止痛、消肿、预防感染等对症处理,目前右足外侧及跟部皮肤变暗,坏死。患者为进一步诊疗,故请我院远程会诊后转入我科继续治疗。患者病来精神、饮食可,大小便正常,体重未见明显改变。


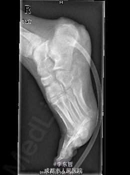
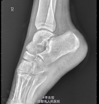
查体:右足内踝、外踝及跟部皮肤变暗,部分缺血坏死。未见畸形,稍肿胀。触:右足趾皮温无明显降低,右足趾感觉未见明显异常。右足内踝、外踝及跟部皮肤局部压痛。动量:右踝关节活动受限,右踝关节活动诱发疼痛。右膝关节活动未见明显异常。 辅助检查:X线示:右跟骨骨折,右胫骨远端骨折。


初步诊断:1、右足跟部皮肤软组织撕脱伤清创缝合术后皮肤软组织大面积坏死伴感染;2、右跟骨骨折;3、右胫骨远端骨折;4、右足跖屈畸形。 处理:1、向患者及家属交待病情及注意事项。2、向上级医生汇报患者病情。3、完善相关术前等检查,择期行手术治疗。4、给予对症支持治疗。5、密切观察病情变化,根据病情及时处理。


暂未随访
