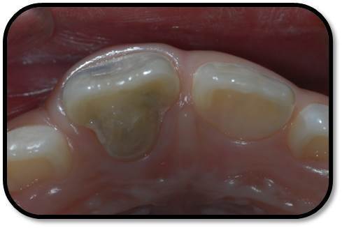
儿童7岁半,男 主诉:右上前牙自发痛,咬合痛3天。 现病史:患儿右上前牙自发痛,咬合痛3天,牙龈肿痛1天,今来诊求治。否认前牙外伤史。 既往史,家族史:无特殊 全身情况:健康

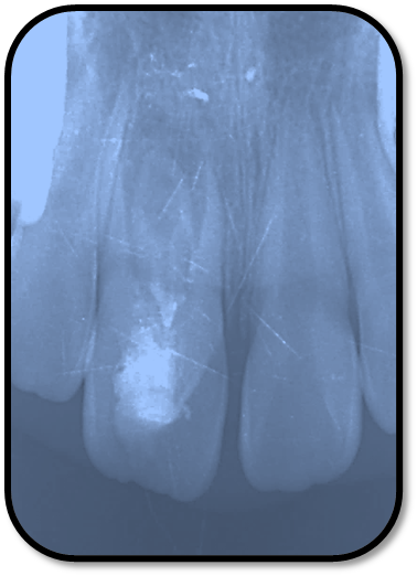
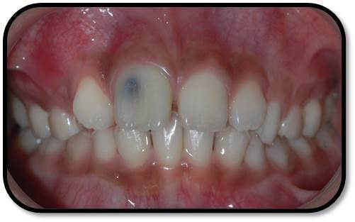
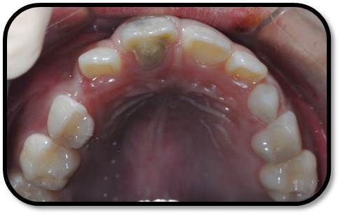
检查: 右上1牙冠略宽大,舌侧见粗大的畸形舌尖,叩痛(++),松Ⅰ°,唇侧牙龈红肿前庭沟膨隆扪痛,挤压唇侧龈缘溢脓,冷热测无反应,右侧上下1侧方颌,正中颌颌创伤。 X线:右上1发育7-8期,根管平行状,根尖孔宽大,约5-6mm宽,根尖周低密度影。髓腔根管宽大内见倒置牙影像,倒置牙可见髓腔。 余牙未见异常 6均已萌出建颌

初步诊断:右上1牙内陷根尖炎,颌创伤 治疗计划:1、口腔卫生宣教 2、右上1调合,牙髓再血管化治疗, 成年后烤瓷贴面修复 3、定期复查(1月、3月、6月--) 处置:右上1STA必兰局麻下舌侧开髓,查得两根管,一个是长扁根管,一个是牙中牙内陷盲袋形成的椭圆根管,拔根髓不成形,5.25%次氯酸钠冲洗浸泡根管5-10分钟,超声根管荡洗,反复3次,2%CR冲洗根管,隔湿干燥后,封Ca(OH)2。调合,去除咬颌创伤。 复诊:隔2周复诊,行5.25%次氯酸钠冲洗浸泡根管5-10分钟,超声根管荡洗,反复3次,2%CR冲洗根管,隔湿干燥后,封Ca(OH)2。 此后复诊每隔1周行2.5%次氯酸钠冲洗浸泡根管5-10分钟,超声根管荡洗,反复3次,2%CR+NS冲洗根管,隔湿干燥后,封Ca(OH)2。 2个月后:患牙症状消失,临床检查无阳性体征,去暂封无渗出,2.5%次氯酸钠冲洗浸泡根管5-10分钟, 2%CR+NS冲洗根管,隔湿干燥后,用无菌30#根管锉超出根尖3-4mm刺破根尖组织出血,待形成血凝块后,置MTA,GIC,冠方树脂严密充填。

随访复查: 治疗完成后1个月复查:右上1临床检查无阳性体征,叩痛(—),冷测无反应,无松动,牙龈无红肿,充填物完好,牙冠略有变色, X线检查:牙根根继续发育,可见钙化影像形成,如图示 治疗完成后7个月复查:临床检查无阳性体征,充填物完好,牙冠变色局部发黑,叩痛(—),冷测无反应,无松动,牙龈无红肿,临床及 X线检查:牙根继续发育,如图示 治疗完成后17个月复查:临床检查无阳性体征,充填物完好,牙冠变色局部发黑,叩痛(—),冷测无反应,无松动,牙龈无红肿。X线:牙根继续发育,根尖孔已近闭合。如图 讨论: 1、牙内陷(Dens invaginatus):是牙冠在生物学矿化开始前的内陷引起的一种罕见牙齿畸形。文献报道,牙内陷的发生率为0.04-10%不等,好发于上颌侧切牙。尖牙,双尖牙,磨牙,下颌侧切牙也有报道。 2、Oehlers将牙内陷畸形牙分为Ⅰ型和Ⅱ型均为釉质阻射层包绕的细沟状透射影,不同的是Ⅰ型局限于牙冠部分,不超过釉牙骨质界。Ⅱ型超过釉牙骨质界延伸至根管内,但不与牙周膜相通。Ⅲ型表现为囊袋状或细沟状透射影,由釉质阻射层包绕,由牙冠部延伸至根尖区,与牙周膜相通。其中type Ⅱ和type Ⅲ型根管系统极其复杂。内陷部位的釉质和牙本质可能有缺陷或缺失,很可能与牙齿髓腔有交通,这些特点使得该部位易龋坏且易进展影响牙髓 ,而且此类牙牙周组织不连续,易形成深牙周袋 ;畸形舌尖随牙齿萌出妨碍咬合,造成咬合创伤,尖细的畸形舌尖髓角长入,易于磨损或折断,极易发生牙髓炎症或者根尖炎症。由于根管系统复杂,所以治疗极其困难。 3、牙内陷的治疗: a、内陷处易患龋—尽早窝沟封闭或PRR,已龋坏者及时治疗,避免发展为牙髓炎根尖炎。 b、畸形舌尖不妨碍咬合较圆钝者可不做处理 c、干扰咬合和高而尖的舌尖可磨除畸形舌尖选择间接盖髓术、直接盖髓、部分冠髓切断。 d、牙髓已受累根据牙髓感染情况和牙根发育情况选择根管治疗、牙髓再血管化、MTA根尖封闭、根尖诱导成形。 e、内陷程度较重的Oehlers Ⅲ型患牙,因内陷结构与根尖区牙周膜相通, 其内容纳的细菌物质导致根尖周炎发生时, 通过常规根管治疗并不能使病变痊愈,还需根尖切除术加MTA倒充填。 f、拔除患牙。 4、内陷盲袋清理治疗时应注意:a、推荐手用根管锉,不推荐旋转镍钛,因为内陷盲袋内壁覆盖釉质,而非牙本质壁,且盲袋形状不规则,使用旋转镍钛器械容易折断。b、推荐使用超声根管预备(Bishop,2008)。c、推荐2.5%-5.25%次氯酸钠化学预备。






