儿童7岁半,男 主诉:右上前牙自发痛,咬合痛3天。 现病史:患儿右上前牙自发痛,咬合痛3天,牙龈肿痛1天,今来诊求治。否认前牙外伤史。 既往史,家族史:无特殊 全身情况:健康

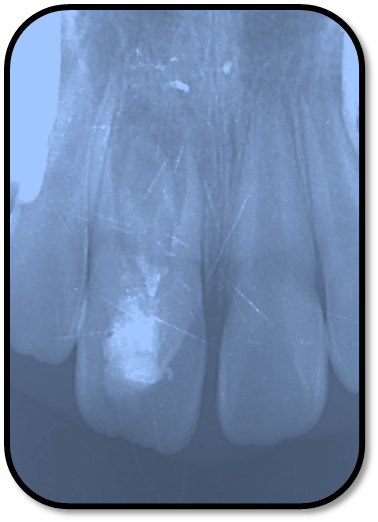
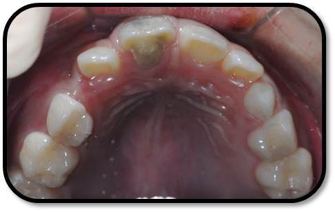
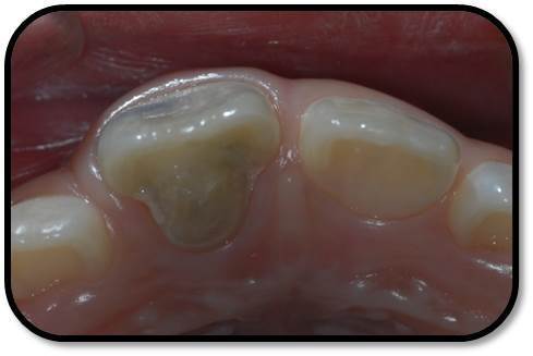
检查: 右上1牙冠略宽大,舌侧见粗大的畸形舌尖,叩痛(++),松Ⅰ°,唇侧牙龈红肿前庭沟膨隆扪痛,挤压唇侧龈缘溢脓,冷热测无反应,右侧上下1侧方颌,正中颌颌创伤。 X线:右上1发育7-8期,根管平行状,根尖孔宽大,约5-6mm宽,根尖周低密度影。髓腔根管宽大内见倒置牙影像,倒置牙可见髓腔。 余牙未见异常 6均已萌出建颌

初步诊断:右上1牙内陷根尖炎,颌创伤 治疗计划:1、口腔卫生宣教 2、右上1调合,牙髓再血管化治疗, 成年后烤瓷贴面修复 3、定期复查(1月、3月、6月--) 处置:右上1STA必兰局麻下舌侧开髓,查得两根管,一个是长扁根管,一个是牙中牙内陷盲袋形成的椭圆根管,拔根髓不成形,5.25%次氯酸钠冲洗浸泡根管5-10分钟,超声根管荡洗,反复3次,2%CR冲洗根管,隔湿干燥后,封Ca(OH)2。调合,去除咬颌创伤。 复诊:隔2周复诊,行5.25%次氯酸钠冲洗浸泡根管5-10分钟,超声根管荡洗,反复3次,2%CR冲洗根管,隔湿干燥后,封Ca(OH)2。 此后复诊每隔1周行2.5%次氯酸钠冲洗浸泡根管5-10分钟,超声根管荡洗,反复3次,2%CR+NS冲洗根管,隔湿干燥后,封Ca(OH)2。 2个月后:患牙症状消失,临床检查无阳性体征,去暂封无渗出,2.5%次氯酸钠冲洗浸泡根管5-10分钟, 2%CR+NS冲洗根管,隔湿干燥后,用无菌30#根管锉超出根尖3-4mm刺破根尖组织出血,待形成血凝块后,置MTA,GIC,冠方树脂严密充填。

随访复查: 治疗完成后1个月复查:右上1临床检查无阳性体征,叩痛(—),冷测无反应,无松动,牙龈无红肿,充填物完好,牙冠略有变色, X线检查:牙根根继续发育,可见钙化影像形成,如图示 治疗完成后7个月复查:临床检查无阳性体征,充填物完好,牙冠变色局部发黑,叩痛(—),冷测无反应,无松动,牙龈无红肿,临床及 X线检查:牙根继续发育,如图示 治疗完成后17个月复查:临床检查无阳性体征,充填物完好,牙冠变色局部发黑,叩痛(—),冷测无反应,无松动,牙龈无红肿。X线:牙根继续发育,根尖孔已近闭合。如图。 讨论:






