下载或打开 医联APP 查看完整评论
立即下载
打开APP
"主 诉:左小腿肿胀2月,加重1月余。 现病史:患者2月前无明显诱因下发现左小腿肿物,起初无疼痛,无红肿,无皮肤溃烂。就诊于当地,予药物保守治疗,未作进一步处理,疼痛无明显缓解。1月余前肿物逐渐变硬,晚上疼痛加重,无放射痛。患者起病以来,胃口可,大小便,体重无明显变化。
专科检查骨科情况右小腿后侧可触及8cm*3cm大小实性肿物,质中,可移动,边界不清,压痛。局部皮肤无溃破糜烂,皮温正常。左下肢感觉无异常,肌力、肌张力正常。 MRI:左侧小腿巨大软组织肿块,考虑肿瘤性病变,低度恶性可能性大,伴左侧腓骨受压变形。建议活检。


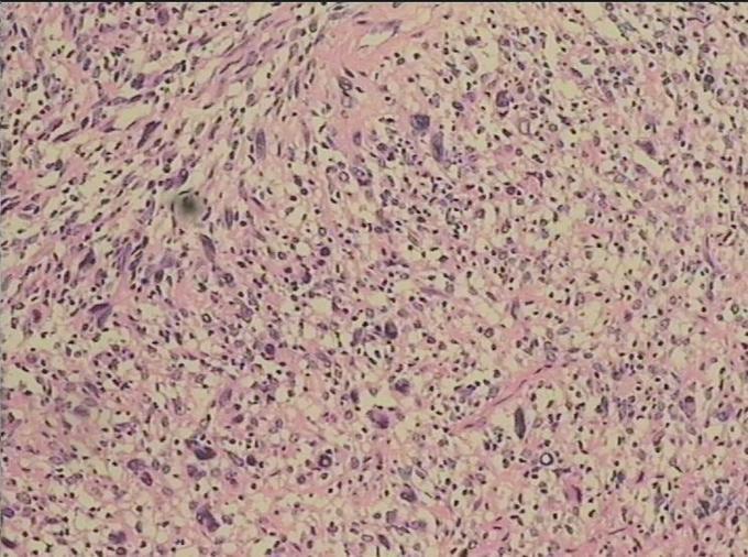
诊断:(左小腿肌肉肿瘤)肉瘤 治疗:在全麻下行 左小腿肿瘤切除术,术后给予对症治疗及相应的理疗及功能锻炼,患者症状明显缓解,切口愈合好。术后病理示:(左小腿肌肉肿瘤)肉瘤,恶性外周神经鞘瘤,低度恶性。
随访:术后随访中。 讨论:肿瘤位于深部组织,无明显自觉症状或稍有不适感,生长缓慢。肿瘤的大小与病程长短有关,直径从数厘米到十几厘米。肿瘤周界不清,表面光滑,无压痛,质坚韧如橡皮。与侵犯肌肉的纵向较固定,而横向稍能移动,与皮肤无粘连。巨大肿瘤可影响活动和压迫神经。