下载或打开 医联APP 查看完整评论
立即下载
打开APP
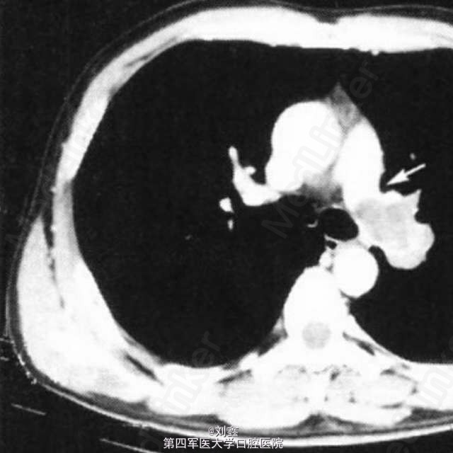
患者男,38 岁。因刺激性咳嗽 2 月余入院。既往体健,无手术史,吸烟史 20 年,15 支/d。CT 检查示,左肺根部肿物,包绕左肺动脉干,并突入左肺动脉干内,考虑左肺中央型肺癌 (图 1)。入院后检查未见远处转移,行左侧开胸探查。 术中发现左肺门左肺动脉干处大块肿物,大小约为 4.2 cm×3.8 cm,包绕左肺动脉干。游离左肺动脉干,可触及左肺动脉干内肿块,质地较硬,仍考虑中央型肺癌侵及肺动脉。术中决定行左全肺切除,依次切断左肺上下静脉及左主支气管,以血管闭合器闭合左肺动脉干,切除左全肺,清扫淋巴结。术后大体标本示,肺动脉干内球形肿物,表面光滑。病理检查示,左肺动脉干平滑肌肉瘤。免疫组化结果示,肿瘤起源于肺动脉平滑肌细胞。术后患者恢复良好,但拒绝行放化疗及其他治疗,于术后 9 个月死于远处转移。
