下载或打开 医联APP 查看完整评论
立即下载
打开APP
患者男,40岁,因“左股骨头股骨颈骨折切开复位内固定术后2+年”入院,患者2+年前因车祸致左股骨头、颈粉碎性骨折于我院就诊,行左股骨头股骨颈骨折切开复位空心钉+可吸收镙钉内固定术,术后恢复良好出院。术后7月后扶双拐活动。6月前患者无明显诱因出现左髋部疼痛,以负重时为重,后患者只能扶双拐活动。现患者为进一步治疗入我院。


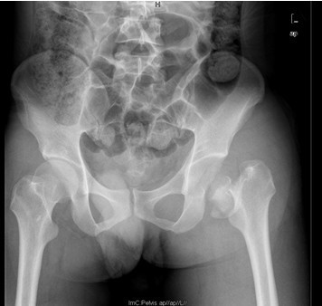
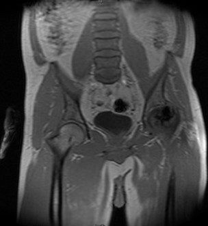
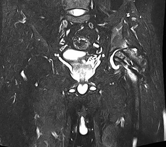
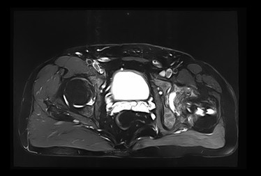
查体:左髋外侧可见一约25cm手术瘢痕,其上可见一点状结痂,左腿较右腿短缩,左腿肌肉较右腿萎缩,步态异常。左髋部无压痛,左腿外侧感觉异常,以左膝外侧为重,左髋外侧叩击痛,左足背动脉搏动未扪及异常。左下肢较右下肢短缩约2cm,左髋关节活动受限,其余各关节未见明显异常。 辅查:MRI示左股骨头坏死


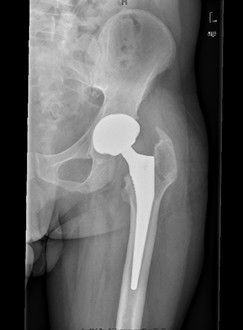
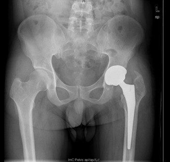
诊断:左股骨头股骨颈粉碎性骨折切开复位内固定术后坏死 治疗:择期行关节置换术


股骨头坏死是一个病理演变过程,初始发生在股骨头的负重区,应力作用下坏死骨骨小梁结构发生损伤即显微骨折以及随后针对损伤骨组织的修复过程。造成骨坏死的原因不消除,修复不完善,损伤-修复的过程继续,导致股骨头结构改变、股骨头塌陷、变形,关节炎症,功能障碍。
