下载或打开 医联APP 查看完整评论
立即下载
打开APP
患儿女,12岁,因前胸、右面部,鼻粱红斑、丘疹、溃疡2年,全身多处肿块伴头部活动受限5月就诊。病程中患儿无明显自觉症状,无发热,精神食欲均可。否认手术外伤史。父母非近亲结婚。家族及村中无类似患者。
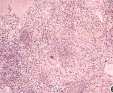
皮肤科检查:头颅向左前方偏斜30度左右,活动受限.不能正位。胸部见一约12 cm×12cm不规则环形红丘疹、斑块,边界清,边缘隆起,颜色鲜红,中央网状瘢痕。右面部见一约8cm×4cm肿块,中等硬度,边缘不清,与周围组织黏连,有压痛。肿块表面可见红斑及多出坏死灶,挤压有黄色粘稠分泌物。左额部、左锁骨下及左足背各有一鸽蛋大肿物,部分呈囊性,活动度佳,边缘较清晰,与周围组织无明显黏连;两侧颈部群集花生米大小淋巴结;均有压痛。实验室检查:分泌物细菌培养出金黄色葡萄球菌。组织病理检查:面部及胸部皮损病检见真皮内见多个上皮样细胞构成的肉芽肿,中央有少许朗格汉斯细胞,结节内及周边有致密的淋巴细胞浸润。锁骨下包块病理检查见多个由上皮样细胞构成的结节,其中央均有大片干酪样坏死灶及不完全坏死灶。颈部肿大淋巴结病检见淋巴结内散在多个大小不等的上皮样细胞结节,抗酸染色阳性;分枝杆菌组织培养阴性;PAS染色阴性; PPD强阳性。



诊断:寻常狼疮 治疗:给予利福喷汀0.45 g 2/周,异烟肼 0.2g 1/日,乙胺丁醇0.5g 1/日;吡嗪酰胺0.25g 2/日。疗程6个月。治疗第3天,患儿胸部皮疹颜色变淡;面部及颈部肿块缩小。2个月后复诊面部、胸部皮疹明显缩小,颜色变淡,边缘变平;右面部肿块明显缩小;全身肿大淋巴结明显缩小。
现继续治疗中。引自《中华皮肤科杂志》,doi:10.3760/cma.j.issn.0412-4030.2009.10.034