下载或打开 医联APP 查看完整评论
立即下载
打开APP
患者老年女性,因“反复咳嗽、气促4年余,再发20余天”入住本科。患者有支气管哮喘病史,本次发作治疗过程中,发现左侧横膈抬高。
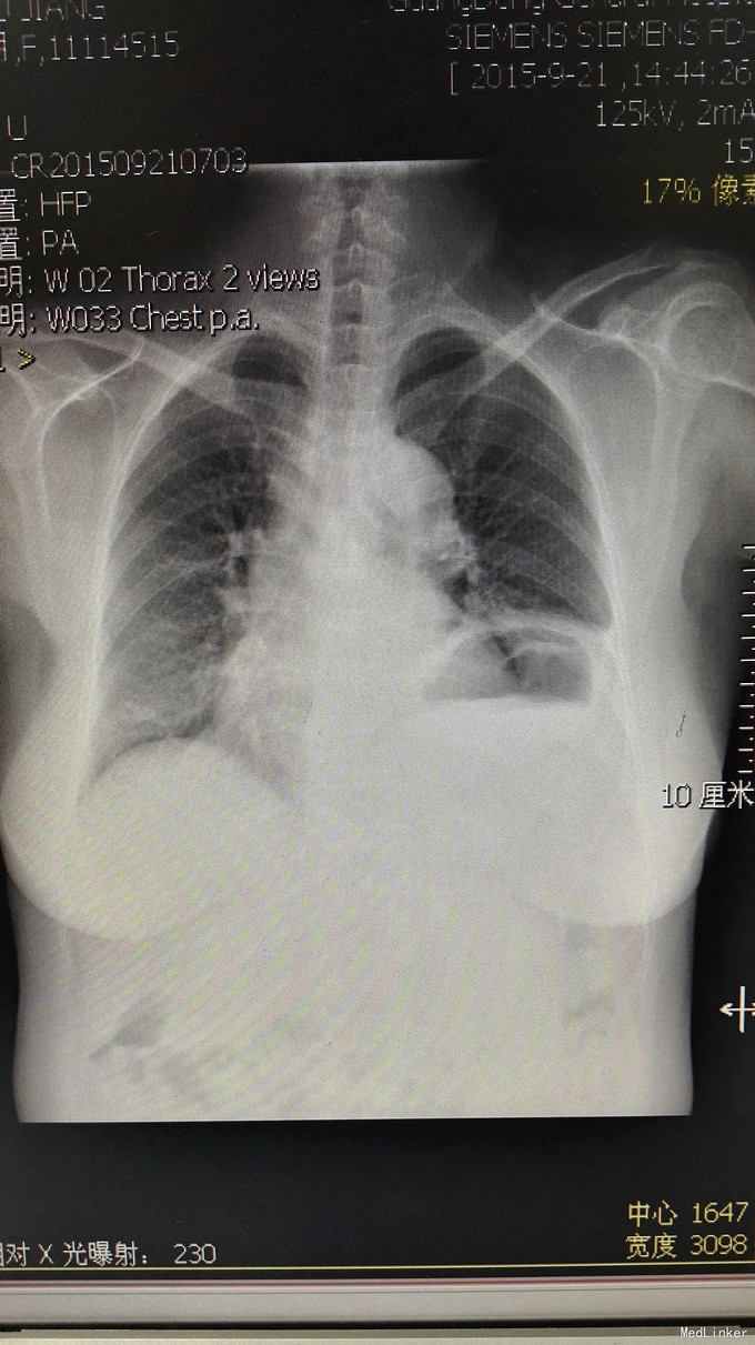
查体:胸廓无畸形,双肺闻及较多干、湿罗音,双侧呼吸运动基本对称,幅度稍有减少,心腹体查未见异常,双下肢无水肿。 辅助检查:外院胃镜:慢性萎缩性胃炎。CT:左侧横膈抬高,未见报告。X线如图

诊断:1、支气管哮喘急性发作2、左侧横膈抬高查因 治疗上,主要针对支气管哮喘,抗炎、平喘、止咳、化痰及对症治疗。完善膈肌B超、颈椎MR、胸透等相关检查,明确左侧横膈抬高原因。
常见的一侧膈肌抬高的原因有哪些?补充一点,本例阅CT片未发现纵膈、心脏、胃部病变。