下载或打开 医联APP 查看完整评论
立即下载
打开APP
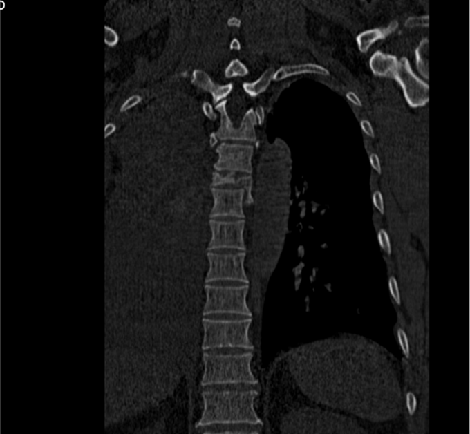
患者于2014-08-13日11:30左右骑摩托车摔倒,伤后一过性意识不清,清醒后感觉胸部疼痛,双下肢活动受限,急诊送至盘锦市宽甸县中心医院,行胸CT、头CT、胸椎三维CT,提示为胸椎骨折,急诊行面部伤口清创缝合,具体治疗不详。患者及家属为求系统治疗,急来我院,急诊予以行辅助检查,提示:胸椎骨折;急诊以“多发外伤”为主诊断收入我科.

平乳头以下感觉减退,平耻骨联合以下感觉运动消失。上臂肌力(R5,L5),前臂肌力(R5,L5),手掌掌屈肌力(R5,L5),手掌背伸肌力(R5,L5)。双手握力(R5,L5)。髂腰肌肌力(L0级,R0级),伸膝力(L0级,R0级),足背伸力(L0级,R0级),足跖屈肌力(L0级,R0级),





诊断:胸3-6椎体骨折,胸髓损伤,双下肢全瘫。 入院后完善检查,查无手术禁忌症后行胸椎骨折后路切开复位椎板减压椎弓根钉内固定术

患者早期手术治疗后,家属协助后可以半卧位休息,防止骨科并发症的发生,提高患者生命质量。