下载或打开 医联APP 查看完整评论
立即下载
打开APP
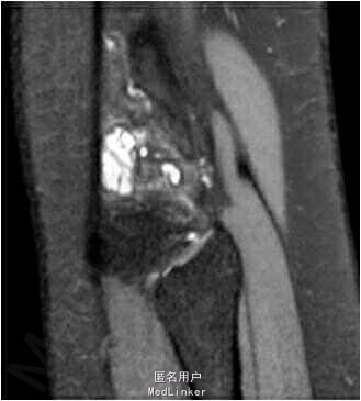
患者女,30岁,因“摔伤致右膝关节反复疼痛1年余”。患者1年前不慎摔伤后右膝关节出现反复疼痛,上下楼梯时加重。1年以来患者疼痛症状反复,现患者为求进一步诊治前来我院就诊,余未见明显异常。
查体:双下肢无畸形,右膝关节关节间隙压痛,麦氏征(+),肢端血运、感觉、活动正常。左下肢及双上肢其余关节未见明显异常。MRI检查提示:右膝关节半月板损伤伴囊肿形成。


诊断:右膝外侧半月板后角损伤伴囊肿形成。拟行手术:右膝关节镜检,囊肿清理,半月板修补。
该部位的囊肿接近腘窝,腘窝处有重要的神经血管,请问在关节镜手术技巧上要注意什么?