打开应用

多发脑挫裂伤1例

张医师   浙江中医药大学附属第二医院
蛛网膜下腔出血 枕骨骨折 右枕骨骨折

主诉 病史

患者,男,52岁,因“车祸头部外伤神志不清1天余”入院。患者1天前骑电瓶车被小汽车撞倒致头部外伤,当即昏迷,无恶心呕吐,无大小便失禁,无四肢抽搐等。

查体 辅查

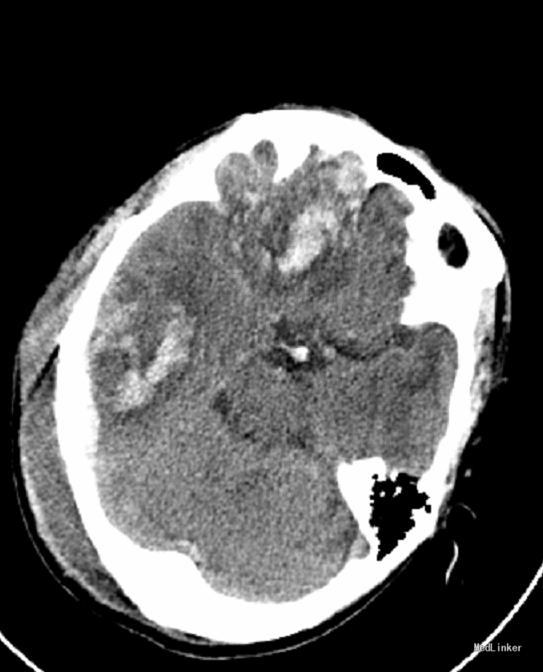
神志昏迷,GCS6分,双侧瞳孔等大3mm,对光反应灵敏,口角不歪,颈软,四肢肌力检查不配合,肌张力可,病理反射未引出。本院头颅CT检查提示:右侧额颞枕多发脑挫裂伤伴血肿、右枕骨骨折、蛛网膜下腔出血、右枕头皮血肿。

诊断 处理

初步诊断:极重型颅脑外伤:右侧额颞枕多发脑挫裂伤伴血肿、蛛网膜下腔出血、右枕骨骨折、右枕头皮血肿. 急诊行开颅血肿清除术+去骨瓣减压术+颅内压探头置入术。

随访 讨论

术后复查头颅CT提示:两侧额叶、颞叶脑挫裂伤术后改变。右侧顶叶挫裂伤。右颞枕部硬膜外/下血肿较前片2015.06.08缩小。蛛网膜下腔出血;右颞骨岩部骨折;右枕部头皮血肿。松果体区条状钙化密度影,必要时MRI检查。术后给予安可欣预防感染,德巴金预防癫痫,营养神经及补液等治疗。

发布于 15-09-23 01:01

0 个评论

暂无评论
发送