打开应用

多发脑挫裂伤1例

姚医师   南方医科大学珠江医院
脑挫裂伤

主诉 病史

主诉:摔伤致嗅觉消失7天。 入院情况:患者7天前于外伤后自感嗅觉消失,无法自行缓解,有鼻血,量较多,呈鲜红色,伴头痛、头 晕,无行走不稳、肢体无力、肢体麻木、肢体抽搐、口角抽搐、听力下降、视物模糊、视物重影,意识不 清,遂到当地卫生院就诊,行CT检查提示“脑挫伤”,予相关治疗后(具体不详)无明显好转,遂转入市级 医院进一步治疗,复查CT提示“多发脑挫烈伤,蛛网膜下腔出血,枕骨骨折”,予对症处理后无明显好 转。今患者为求进一步诊治而来我院,门诊拟“脑挫伤”收入院。起病以来,患者精神状态一般,体力情况 一般,食欲食量一般,睡眠情况一般,体重无明显变化,大便正常,小便正常。

查体 辅查

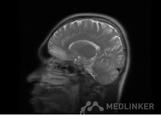
MR:双侧额叶及左侧颞叶异常信号,结合病史,多考虑脑挫裂伤(亚急性-慢性期);双侧下鼻甲肥厚。左侧蝶窦黏膜增厚。

诊断 处理

诊断:1.多发脑挫裂伤2.蛛网膜下腔出血3.枕骨骨折 入院后积极予以预防癫 痛、预防脑血管痉挛、营养神经、护胃等对症支持治疗.

随访 讨论

1,注意休息,出院后全休2周,2, 1月后返我院门诊复查。

发布于 18-09-16 14:28

0 个评论

暂无评论
发送