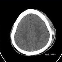
男,51岁,铁路职工。 主诉:发作性晕厥2小时 现病史:缘患者2小时前如厕后突然晕倒在地,后头着地,当时发作时无人在场,具体情况不详。后询问病人也不清楚当时情况。后呼120接来我院就诊。查:BP125/80mmHg 神清,反应迟钝,后头痛。四肢肌力正常。门诊医师建议其住院治疗。行头颅CT示:左侧枕顶部皮下血肿。鼻骨骨折?鼻咽壁增厚,建议进一步检查。心电图示:正常。门诊医师建议其入院治疗。 既往史:既往有尿酸增高史,余无特殊。
查体:Bp:160/100mmHg,左后头部见一大小约4*5CM大小血肿,双侧瞳孔等大等圆,对光反射灵敏,双侧眼球活动自如,无震颤,鼻部有淤痕,双侧鼻唇沟对称,伸舌居中。颈无抵抗,克氏征阴性,布氏征阴性。躯体浅感觉对称。四肌肌力5级,肌张力正常,病理反射未引出。 头颅CT示:左侧枕顶部皮下血肿。鼻骨骨折?鼻咽壁增厚,建议进一步检查。心电图示:正常。余结果未见异常。

诊断:1、晕厥查因:反射性晕厥? 2、高血压病 予营养支持、尼莫地平改善脑循环、及其他对症治疗等,完善其他检查,并由耳鼻喉科会诊诊治。
患者情况好转,一周后鼻部及头皮血肿好转,检查未见特殊,患者及其家属询问病因,以反射性晕厥对其进行解释。要求出院,予以出院, 大脑灌注压取决于体循环的动脉压,因此,任何引起心排出量下降或外周血管阻力降低的原因都可以引起晕厥。 晕厥的常见的原因有: 1.自主神经调节失常,血管舒缩障碍 如直立位低血压时脑供血障碍可引起晕厥,体质差者多见;一次性大量排尿或连续咳嗽,可使回心血量减少引起晕厥。 2.心源性脑缺血 这种原因的晕厥最严重,多见于严重的快速或慢速心律失常、心脏停搏。任何体位均可发生,缺血严重时可伴有四肢抽搐、大小便失禁。 3.脑血管疾病 这种情况多为突然发生的脑干供血不足所致,因脑干网状结构上行激活系统缺血而不能维持正常的意识状态,应称为短暂性脑(后循环)缺血发作。 4.其他 晕厥也可见于低血糖、重度贫血及过度换气者。 此患者应该是第一种。