下载或打开 医联APP 查看完整评论
立即下载
打开APP
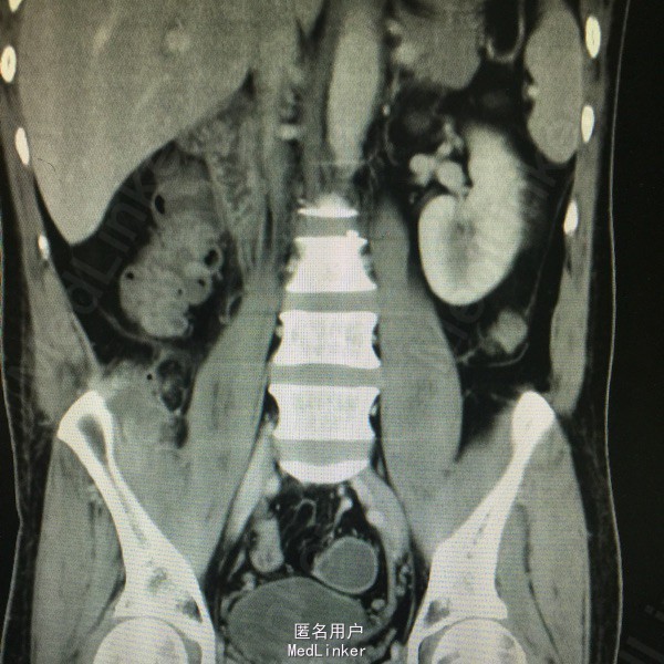
男,41岁,反复右侧腰部疼痛3。患者3月前出现右腰部疼痛,伴低热,就诊当地医院,超声提示腰大肌脓肿,给予穿刺引流,抗感染治疗。同时活检病理无特殊。现疼痛来我院。
局部皮肤完整,右侧腹部肌紧张,压痛明显,反跳痛阳性。





行脓肿切开引流术,术中见 牙签一枚!术后一周拔除引流管,复查脓腔缩小,无发热无疼痛。
患者不明原因导致牙签滞留体内,反复发热疼痛,影像检查未发现,排除结核感染。及时手术是最佳治疗。