打开应用

#口腔科室play#牙周病病人是否适合正畸?

刘医师   中国人民解放军空军总医院

主诉 病史

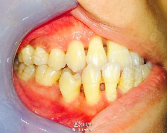
女,23岁,重度侵袭性牙周病,有家族遗传性

随访 讨论

讨论: 牙周治疗处于维护稳定阶段,下合2—2牙槽骨吸收至根尖1/3水平,是否适合正畸? 下合前牙的保留问题?

发布于 15-09-06 19:54

1 个评论

发送