打开应用

牙周病病人是否适合正畸?

刘医师   中国人民解放军空军总医院

主诉 病史

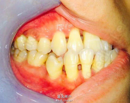
女,23岁,重度侵袭性牙周病,有家族遗传性

随访 讨论

讨论:牙周治疗处于维护稳定阶段,下合2—2牙槽骨吸收至根尖1/3水平,是否适合正畸?下个前牙的保留问题

发布于 15-09-06 19:51

29 个评论

发送