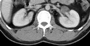
1.患者因体检发现左肾囊肿近1年收住入院。 2.患者于近1年前在体检中发现左肾囊肿,随后到中山大学第二附属医院行CT检查,提示“左肾盂旁囊肿(直径约51.5mm)”,一直未予进一步治疗,近1年来时有轻腰背酸痛不适,无畏寒发热,无肉眼血尿,约2月前在当地医院复查CT,提示肾囊肿大小约76*35mm,现觉病重,要求手术治疗来诊,门诊拟“肾囊肿”收入我科。
专科情况:双肾区无隆起,无压痛及叩击痛,双输尿管行程无压痛及反跳痛,膀胱区无隆起, 叩诊空虚,无压痛。双侧阴囊皮肤无红肿。外生殖器正常。直肠指检:前列腺不大,中央沟存在,质韧,无压痛,肛门括约肌张力正常。 辅助检查:2015-6-30当地8医院上腹部增强CT:左肾囊肿;肝多发囊肿。
左肾盂旁囊肿 腹腔镜下肾囊肿去顶术+输尿管镜检逆行插管术 病人截石位,麻醉满意后,常规消毒铺巾,输尿管镜直视下顺利进入膀胱腔内,见双侧输尿管开口正常,腔内少许絮状物,F4号导管引导下顺利进入左输尿管,见管腔内多絮状物漂浮,管壁光滑未见息肉,向上直达肾盂开口处,未见异常,留置导管,退镜,F14双腔尿管保留固定。改右侧卧位,消毒铺巾,选取腋中线髂脊上3指,做纵行切口约2.5cm,钝性分开皮下,腰背筋膜进入腹膜后,入镜接气腹,建立腹膜后工作通道,食指四周推开腹膜后脂肪,12肋下缘腋前腋后线分别开口置入5好,12号TROCAR,入镜,找到腰大肌,沿腰大肌表面找到肾周包膜,清除阻挡视线脂肪,超声刀打开包膜,钝性+超声刀分离肾周脂肪,中上盏部位找到囊肿,确定无误,开窗,留取囊皮送病理,吸尽囊液,导管内注入50ml稀释美兰液,未见尿液流到腹膜后,确定无肾盂穿孔。留取部分脂肪组织填塞囊腔,WY线缝合固定,检查创面无渗血,留置腹膜后引流管固定,退镜,缝合伤口,无菌纱布固定,术毕送复苏室。
病理:(左肾)送检直径1.5cm碎组织一堆,囊壁样。镜下:送检囊壁样组织,囊壁披覆单层上皮,囊壁内肾小管萎缩,肾小球玻璃样变,病变符合肾囊肿。 肾盂旁囊肿又名为肾盂周围囊肿;起源于肾窦外、侵入肾窦的囊肿命名为肾盂旁囊肿。肾盂旁囊肿多由先天性因素造成。 肾盂旁囊肿因是良性病变,囊肿小且无症状,可定期随访,当囊肿直径>5cm,或出现压迫症状及并发症时,应积极采取手术治疗。手术方法有开放性囊肿去顶减压术,B超引导下穿刺抽吸囊内液注射硬化剂以及腹腔镜囊肿切除术等。 随着腹腔镜技术的不断普及和发展,腹腔镜囊肿去顶术必将成为肾盂旁囊肿治疗的首选方法。

