下载或打开 医联APP 查看完整评论
立即下载
打开APP
主诉:反复乏力、纳差、尿黄1月余,伴身目黄染1周。 病史:中年女性性,小三阳,1月前因劳累后出现乏力,纳差,尿黄,当时未予重视,未行治疗。1周前开始出现身目黄染,伴皮肤瘙痒,遂至我院治疗。 既往史,个人史无特殊,有乙肝家族史
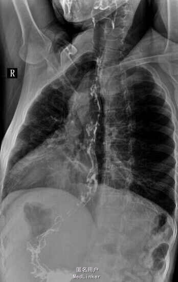
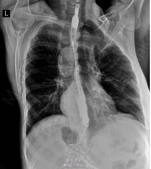
查体:慢性肝病体征,肝掌,蜘蛛痣阳性,腹水征阳性,压痛,反跳痛阴性。 辅查:肝功能示:谷丙260,谷草111.9,白蛋白34,总胆121,直胆80,ALP179,GGT200,凝血四项PT19,PTA41,甲胎蛋白86,HBV DNA7.9x10E4,肝炎系列未见异常,肝彩示肝硬化,食管钡餐示串珠样改变


诊断:乙肝肝硬化失代偿期、食管胃底静脉曲张 治疗:常规护肝退黄降酶治疗,制酸护胃,输血浆,白蛋白,利尿等对症支持治疗,予博路定抗病毒治疗。
对于肝硬化患者,尤其是伴有食管胃底静脉曲张的病人,在饮食方面告知患者尽量软食,避免因为食用过于坚硬或者粗糙的食物割破静脉,同时应建议患者行胃镜探查食管胃底静脉曲张情况,因病人自身原因拒绝。应告知患者规律复诊及其复诊的必要性。