下载或打开 医联APP 查看完整评论
立即下载
打开APP
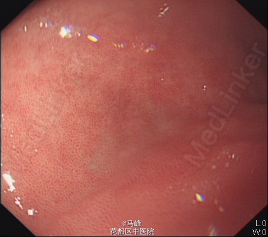
老年男性,主诉:发现乙肝肝硬化7月,返院复查。既往有乙型肝炎病史,目前已服用“博路定 0.5mg qn”抗病毒治疗4月。 现病史:患者7月前外院诊断“乙肝肝硬化”。后为求进一步诊治,来我科住院治疗,分别于2014-9-9、2014-10-21及2015-3-20在我院行胃镜下“食管重度静脉曲张套扎术”治疗,术后无诉不适,好转出院。
查体:生命体征平稳。巩膜、皮肤无黄染,皮肤无出血点、无肝掌、蜘蛛痣。腹平软,全腹无压痛、反跳痛,肝于肋下未触及,脾于肋下三横指可触及,质中、边界清晰,肝区无叩击痛,肠鸣音正常,移动性浊音阴性。
入院后予抗病毒、补充营养等对症支持治疗,排除禁忌症后于13/5在无痛胃镜下行食管重度静脉曲张套扎术,术后予加强护胃治疗。



