下载或打开 医联APP 查看完整评论
        立即下载 
        打开APP
    患者,男,29岁,以“双下肢红斑,结节伴疼痛15天”来诊。
生命体征平稳,心肺未见异常。皮肤科查体:双小腿伸侧可见甲盖样大小鲜红色圆形红斑,有明显压痛,毛发分布正常。血尿便常规未见异常。CRP24.7mg/l,肝、肾功能、电解质未见异常。胸片,心电图未见异常。
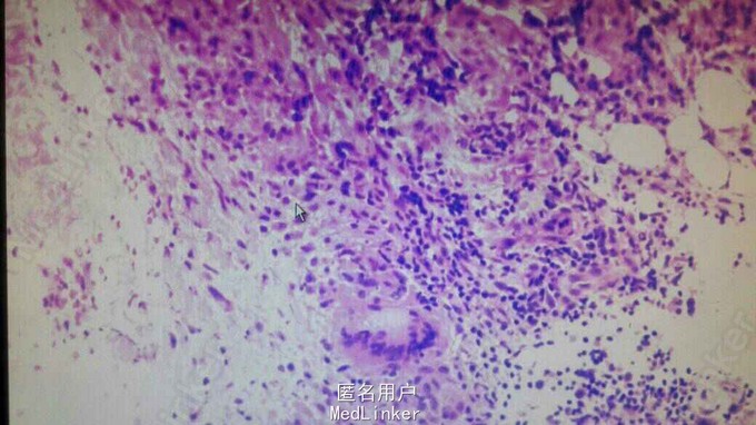
皮肤病理结果提示符合结节性红斑改变。给予口服美洛昔康,碳酸钙,氯化钾,静滴复方甘草,丹参川穹嗪,附加红光治疗后疼痛缓解,皮疹消失。

嘱出院后口服迈之灵,复方甘草,清淡饮食,休息休息。不适随诊。